常见的烤瓷牙材料
来源:郑州唯美口腔
赞: |
好评: |
阅读:
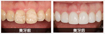
常见的烤瓷牙材料,烤瓷牙是常见的牙齿修复问题的方法,牙齿缺失或者牙齿缺损,这时候就需要通过烤瓷牙来完善牙齿问题,但是形形色色的烤瓷牙材料,到底那种是更适合自己的呢?下面就让郑州唯美口腔专家告诉大家:

1、非贵金属烤瓷牙主要是在镍铬合金制成的金属内冠外高温烤瓷而成,其价格相对较低,但是这种烤瓷牙存在一些缺点;
2、全瓷牙:全瓷牙的内冠是一种透明的骨架,由于无金属基底结构,不透金属色,所以色泽自然,层次感强,透明效果理想,它的层次、色泽更接近真牙;推荐阅读:郑州烤瓷牙多少钱一颗
3、贵金属烤瓷牙:选用黄金、白金、钯等贵重金属制作内冠,然后在其表面用与自然牙色相似的瓷粉恢复牙外形,在真空烤瓷炉内烤制成烤瓷牙;
4、半贵金属烤瓷牙:代表是钴铬合金烤瓷牙,其生物相容性优于非贵金属,也比较耐久,可以避免牙龈出血及黑色牙龈的现象出现。
推荐阅读>>>>
郑州哪个医院正畸做得好,郑州唯美口腔医院是省市区医保定点医疗机构,全国中韩种植中心落户唯美,口腔医疗专家加盟签约。业内人士透露,此次专家的联盟预示着郑州口腔诊疗水平得到整体提高,撬动郑州口腔领域的全面发展,与世界水平紧密接轨,市民将“足不出户”享受国内外先进的口腔医疗服务。不仅注重对医学技术精益求精,而且注重在医疗服务中充分体现人文关怀精神,树立以患者为中心的服务理念。望广大患者放心就诊。
郑州烤瓷牙价格在线咨询,一分钟预约挂号,医务人员将会与您一对一进行沟通。我们有中国更专业的网上挂号平台,为您提供更便捷的预约就诊服务,为您推荐全国资质更深、技术更好的治疗专家,让你从此刻开始摆脱牙齿问题的困扰。
温馨提示:口腔健康问题,不要查看不专业的网站,不要问不专业的医生。