烤瓷牙

郑州医院烤瓷牙多少钱

来源:郑州唯美口腔
赞: | 好评: | 阅读:
  郑州医院烤瓷牙多少钱,很多身边的朋友都存在牙齿缺失问题,常见原因都是蛀牙引发的牙齿坏死,及时镶牙才能有效避免牙槽骨萎缩症状的出现,那么补牙的费用很多人也会问到,都说烤瓷牙效果不错,郑州医院烤瓷牙多少钱一颗呢?下面让郑州唯美口腔专家告诉大家:
 
  烤瓷牙多少钱一颗?
 
  1、与烤瓷牙材料有关:烤瓷牙主要由内冠和外面的瓷层组成的,目前市场上的烤瓷牙主要分为以下几种,以价格由低到高的方式排列: 全瓷牙、贵金属烤瓷牙、非贵金属烤瓷牙等,因烤瓷牙内冠的使用材料不同,而直接导致烤瓷牙价格相差甚远。
 
  2、与医生技术有关:一位专业正规的烤瓷修复医生,其口碑是实力与技术的结合,是大量临床经验的积累,做出来的烤瓷牙不仅色泽亮丽、自然、美观,而且绝对不会因技术操作而导致咀嚼不良、形态不理想、牙龈着色、牙龈出血等问题,因此收费自然会比普通牙科医师略贵一些。
 
  3、与医院有关:做烤瓷牙需要配备较高的设备环境,所以只有在正规口腔医院,才能拥有这些设备,例如大型X线诊断设备、临床手术设备、技工设备、手术支持设备等,高技术的医疗设备也是烤瓷牙质量的保证。
 
推荐阅读>>>>
常见的烤瓷牙材料
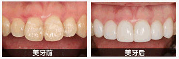
  烤瓷牙有什么优势?
 
  烤瓷牙以良好的生物相容性、卓越的边缘密合度、色泽自然美观、适中的耐磨性等优势,成为了很多四环素牙、畸形牙、牙齿缺失、黄板牙等患者的首推技术。
 
  郑州口腔医院烤瓷牙多少钱,郑州唯美口腔环境优雅,舒适宜人。人性化设计的候诊休息区解决了您等候的烦恼。可以随意阅读时尚杂志,也可以精心欣赏亲切的背景音乐。处于一个放松自己的心情。在郑州唯美口腔看牙,让您得到更私密安心的治疗服务,唯美口腔让您在不知不觉中拥有美丽笑容!
 
  如果您对以上的内容,还有任何不明白的地方,欢迎点击在线咨询,与专家进行一对一交流,同时网上咨询预约,还可享免挂号费,无需排队优先就诊服务。
 
温馨提示:口腔健康问题,不要查看不专业的网站,不要问不专业的医生。

上一篇:常见的烤瓷牙材料

下一篇:做烤瓷牙套要多少钱

唯美口腔连锁·汇聚实力专家
唯美口腔连锁·品牌资讯
  • 一城七院
  • 高端设备
  • 荣誉资质
  • 机构环境