烤瓷牙怎么样?大家都知道牙掉了,需要镶牙,但是真正的对镶牙的概念却还是比较苍白的,镶牙的方式,种类繁多,价格自然也不同,面对铺天盖地的广告,到底那种才是更适合自己的?郑州唯美口腔专家介绍:就目前来说,烤瓷牙是大家理想的镶牙方式,烤瓷牙怎么样?下面就去了解一下

郑州唯美口腔的专家说,烤瓷牙是在真空的条件下,借助高温作用,将与天然牙齿相似的低溶瓷粉熔融,并结合到经特殊处理过的金属表面上,从而制作成的一种修复体。
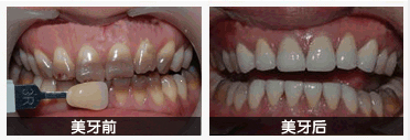
郑州比较好的口腔医院介绍,烤瓷牙的烤瓷密合度好,颜色效果逼真自然,修复治疗时间比较短,一般就诊两至三次即可完成,此外,烤瓷牙还能根据患者要求,与周围牙的颜色进行比色和配色,因此做出来的牙齿色泽真实、自然、耐磨、不变形、生物相容性好,是其他修复体无法取代的更为理想的修复体。
烤瓷牙怎么样?我们可以简单看一下:
1、烤瓷牙的优点一、良好的边缘封闭:有些朋友可能会吃过这样的苦头:一颗牙齿不好或缺损之后,通过钢牙、金牙包起来,日久天长便感到口发臭及疼痛,这是因为假牙冠与真牙之间不够密合,口水及食物残渣则会渗入其中,真牙便逐渐腐蚀,从而出现假牙发臭,松动脱落,这就是假牙边缘封闭不好的结果。而烤瓷牙的制作要求边缘贴合,在牙龈下1mm处,加上专用非水溶性的粘合材料,确保了边缘的密封,具有良好的边缘封闭,因此若无意外,烤瓷牙不会出现上述情况。推荐阅读:郑州烤瓷牙一颗多少钱
2、烤瓷牙的优点二、自然美观:烤瓷牙的颜色可调制成真牙颜色一样,且烤瓷牙永不变色,全瓷牙的颜色更为理想,折光性跟真牙一致。晶莹洁白,形态均匀,颜色逼真,而且不影响牙齿的咀嚼功能、发育功能,给自身及他人以完整和谐的美感。
推荐阅读>>>>
郑州唯美口腔环境优雅,舒适宜人。人性化设计的候诊休息区解决了您等候的烦恼。可以随意阅读时尚杂志,也可以精心欣赏亲切的背景音乐。处于一个放松自己的心情。在郑州唯美口腔看牙,让您得到更私密安心的治疗服务,唯美口腔让您在不知不觉中拥有美丽笑容!
如果您对以上的内容,还有任何不明白的地方,欢迎点击在线咨询,与专家进行一对一交流,同时网上咨询预约,还可享免挂号费,无需排队优先就诊服务。