郑州烤瓷牙大概需要多少钱?烤瓷牙修复牙齿越来越受到人们的青睐,其主要原因还是烤瓷牙修复我们的牙齿解决了很多牙齿问题所带来的麻烦,那么郑州烤瓷牙大概需要多少钱呢?下面跟随郑州知名口腔科专家来了解一下!
郑州烤瓷牙大概需要多少钱?郑州烤瓷牙大概需要多少钱与很多因素有关系,主要是一下因素:
1、与选择的医院有关:烤瓷牙的医院也会影响到郑州烤瓷牙大概需要多少钱,医院的设施、环境以及制作烤瓷牙的技术都是会对一个郑州装烤瓷牙大概需要多少钱有影响。
2、与患者口腔健康状况有关:有的患者有口腔疾病,做烤瓷牙必须先只好口腔疾病。因为每个患者的口腔健康状况不同,所以郑州装烤瓷牙大概需要多少钱也不同。你的口腔状况是怎样的呢?点击在线咨询直接与专家对话了解详情!
3、郑州烤瓷牙大概需要多少钱由烤瓷牙的材料决定:烤瓷牙制作的材料不一样,可以分为氧化铝烤瓷牙、二氧化锆烤瓷牙、铸造烤瓷牙等。烤瓷牙有一个主要的特点就是有陶瓷材料组成,没有一点金属的材料,这三种材料虽然组成的烤瓷牙有着一样的共性,但是组成的材料不一样,所以不同的患者选择不同材料的烤瓷牙,郑州装烤瓷牙大概需要多少钱也就不同。推荐阅读:3D全瓷牙
烤瓷牙更好的技术推荐——3D全瓷牙
中韩·唯美口腔拥有的3D全瓷牙采用更高端的氧化锆材料,运用先进的CT三维数字扫描技术、电脑智能CAD/CAM系统设计,在短时间内根据患者的口腔条件、脸型、肤色,量身定做个性化全瓷牙修复美容方案。3D全瓷牙拥有完美的精密度;具有真牙相匹配的透光性,色泽逼真,可媲美自然牙;良好的生物相容性,对牙龈无刺激;强度绝佳,强度超出真牙,拥有卓越的咬合力量,无不良金属离子渗出,磨牙较少,更大程度地保留原有的牙齿组织,所以能达到更佳的美齿效果及与软组织的更舒适接触。点击在线咨询,了解全瓷牙的优惠信息!在线预约可享更多优惠!
中韩·唯美口腔牙齿美容专家推荐

莫三心教授,主任医师,硕士研究生导师。唯美口腔特邀专家,河南省口腔医学领域知名专家、郑州大学知名教授。精湛技术:牙齿种植、口腔修复、牙齿美容修复曾多次获得卫生部及省市各级表彰。主编多部并且参与编写多部国家医学教材,发表学术论文20余篇。擅于口腔修复,并涵盖口腔专业各个领域,可谓是大师级的口腔专家,在国内口腔界享有很高的声望。
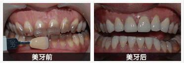
中韩·唯美口腔牙齿美容前后对比图

如果您觉得我们的文章没有解释的很清楚,或者还有其他疑问,您可以直接点击我们的在线咨询医生,中韩·唯美口腔专业咨询医生会给您耐心的,详细的解答,并给您一个满意的答复!
上一篇:烤瓷牙如何分辨好坏
下一篇:烤瓷牙价格取决于哪些因素
唯美口腔连锁·汇聚实力专家
唯美口腔连锁·品牌资讯