随着人们的牙齿问题的关注加深,越来越多的人开始寻求方法解决个人牙齿问题,烤瓷牙对于牙齿缺损、牙齿变色都有很好的效果,而价格也是差异很大,很多患者分辨不出烤瓷牙的好坏,以至于上当受骗,那么烤瓷牙如何分辨好坏?
现在也有越来越多的人做烤瓷牙,据统计,在目前市场上,烤瓷牙价格从几百到上千元不等,如何辨别烤瓷牙的好坏,下面就让专家叫教我们:
一、看颜色:烤瓷冠色泽柔和,并非越白越好。为了遮盖金属内冠的颜色,必须要有一定厚度的瓷层,常瓷层越厚,美观效果越好。临床上牙齿预备不足,就容易出现烤瓷牙呈白垩色或者呆板、肥厚。
二、看边缘:烤瓷牙边缘的精度,是鉴别烤瓷牙优劣更基本的一个判断标准,精度体现在瓷冠与牙齿之间的接缝,缝隙越小越好,否则细菌就容易进去,导致牙齿内部的龋坏、折断,造成修复的失败。
三、看牙龈:牙龈术中应该不出血,术后无红肿,充血,变色。术中在牙颈部预备时,如果不细心保护牙龈,常常导致牙龈的出血损伤,这样容易产生镶戴烤瓷牙后牙龈红肿、出血、萎缩,影响前牙的美观,同时也不利于高精度的取模。了解更多牙齿美容,点击在线咨询,直接与专家一对一相互交谈咨询!
四、看形态:牙齿的形态正常,不肥大,唇舌无异物感。同时要对各种瓷冠的特点、性能要有清晰掌握,并做出个性化的牙体预备,在保证足够的瓷层厚度情况下实现更小量的磨除牙体组织。
中韩·唯美口腔牙齿美容技术推荐
中韩·唯美口腔拥有的3D全瓷牙采用更高端的氧化锆材料,运用先进的CT三维数字扫描技术、电脑智能CAD/CAM系统设计,在短时间内根据患者的口腔条件、脸型、肤色,量身定做个性化全瓷牙修复美容方案。3D全瓷牙拥有完美的精密度;具有真牙相匹配的透光性,色泽逼真,可媲美自然牙;良好的生物相容性,对牙龈无刺激;强度绝佳,强度超出真牙,拥有卓越的咬合力量,无不良金属离子渗出,磨牙较少,更大程度地保留原有的牙齿组织,所以能达到更佳的美齿效果及与软组织的更舒适接触。推荐阅读:3D全瓷牙
中韩·唯美口腔牙齿美容专家推荐

莫三心教授,主任医师,硕士研究生导师。唯美口腔特邀专家,河南省口腔医学领域知名专家、郑州大学知名教授。精湛技术:牙齿种植、口腔修复、牙齿美容修复曾多次获得卫生部及省市各级表彰。主编多部并且参与编写多部国家医学教材,发表学术论文20余篇。擅于口腔修复,并涵盖口腔专业各个领域,可谓是大师级的口腔专家,在国内口腔界享有很高的声望。点击在线咨询,了解牙齿美容的优惠信息!在线预约可享更多优惠!
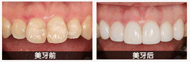
中韩·唯美口腔牙齿美容前后对比图

温馨提示:以上就是关于辨别烤瓷牙好坏的内容了,希望大家可以通过以上的内容能辨别烤瓷牙的好坏,如果你在牙齿美白的问题上还有什么疑问的话,可以联系我们中韩·唯美口腔医院的在线专家,他们会为你们做详细解答。
上一篇:郑州烤瓷牙要多少钱
下一篇:郑州烤瓷牙大概需要多少钱
唯美口腔连锁·汇聚实力专家
唯美口腔连锁·品牌资讯