郑州烤瓷牙要多少钱?牙齿问题尽早修复是为了更好的保障我们口腔的健康,能够避免因牙齿问题所引起的各种麻烦。烤瓷牙是修复牙齿问题常用的方法,那么郑州烤瓷牙要多少钱呢?下面跟随郑州知名口腔科专家来了解一下!
做烤瓷牙要多少钱与哪些因素决定
中韩·唯美口腔专家介绍:做一个烤瓷牙要多少钱是由很多因素决定的,各家医院的价格也不一样,并不能一概而论:
1、烤瓷牙品质不同做一个烤瓷牙要多少钱当然不同:也可以说材料不同烤瓷牙价格不同。不同材质其机械性能,物理性能,化学性能,生物相容性,美观性等都有很大区别。当然也包括印模材料,模型材料,临时牙材料等。每一款烤瓷牙都有其适合的修复指征,并不是适合所有的情况。通常医生会根据您的情况帮您选择适合的烤瓷牙。哪种烤瓷牙适合你呢?点击在线咨询,直接与专家对话了解详情!
2、不同医生做一个烤瓷牙要多少钱也不一样:医生的经验、职称、受教育背景不同决定了其产品的质量,质量不一样,烤瓷牙价格当然也不一样。
3、不同的医院、门诊、诊所,做一个烤瓷牙要多少钱不同:每一间牙科硬件投入和软件建设肯定不一样,技术、质量、信誉、服务也不仅相同,那么做一个烤瓷牙要多少钱肯定也不同。
4、选择的加工厂不同:做一个烤瓷牙要多少钱不同:即使同一品质烤瓷牙也因为所含贵金属比例不一样其加工费也不一样。推荐阅读:3D全瓷牙
烤瓷牙更好的技术推荐——3D全瓷牙
中韩·唯美口腔拥有的3D全瓷牙采用更高端的氧化锆材料,运用先进的CT三维数字扫描技术、电脑智能CAD/CAM系统设计,在短时间内根据患者的口腔条件、脸型、肤色,量身定做个性化全瓷牙修复美容方案。3D全瓷牙拥有完美的精密度;具有真牙相匹配的透光性,色泽逼真,可媲美自然牙;良好的生物相容性,对牙龈无刺激;强度绝佳,强度超出真牙,拥有卓越的咬合力量,无不良金属离子渗出,磨牙较少,更大程度地保留原有的牙齿组织,所以能达到更佳的美齿效果及与软组织的更舒适接触。点击在线咨询,了解全瓷牙的优惠信息!在线预约可享更多优惠!
中韩·唯美口腔牙齿美容专家推荐

莫三心教授,主任医师,硕士研究生导师。唯美口腔特邀专家,河南省口腔医学领域知名专家、郑州大学知名教授。精湛技术:牙齿种植、口腔修复、牙齿美容修复曾多次获得卫生部及省市各级表彰。主编多部并且参与编写多部国家医学教材,发表学术论文20余篇。擅于口腔修复,并涵盖口腔专业各个领域,可谓是大师级的口腔专家,在国内口腔界享有很高的声望。
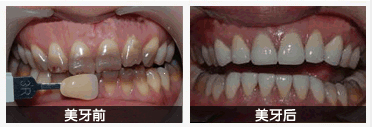
中韩·唯美口腔牙齿美容前后对比图

如有有任何疑问,你可在线咨询得到想要的蜕变答案,中韩·唯美口腔专家会根据您的实际情况为您推荐更好的治疗方案并为您申请专项优惠。
唯美口腔连锁·汇聚实力专家
唯美口腔连锁·品牌资讯