烤瓷牙价格取决于哪些因素?烤瓷牙修复牙齿问题的效果早已经得到了大家的认可,而随着时间的变迁,很多朋友对于烤瓷牙的价格变化有一些疑问,这主要是由于烤瓷牙的种类越来越多的缘故,下面我们来了解一下烤瓷牙价格的取决因素有哪些。
中韩·唯美口腔专家介绍:一般说来烤瓷牙有不同的种类,因此价格也不一样,所以对于做烤瓷牙多少钱,是难以回答的,只能给大家一个笼统的答复,一般来说非贵金属烤瓷牙会比较便宜,贵金属烤瓷牙会相对较贵一点。而具体的价格还需要与个人的情况而定。点击在线咨询,直接与专家对话了解详情!
烤瓷牙常见问题
1、烤瓷牙能用多久
对于烤瓷牙能用多久这个问题,一般来说经过正规医师严格、规范、正确的操作、设计、制作的烤瓷牙,在口内的使用年限,普通合金烤瓷经研究得出,65%左右能使用20年以上,这有待于病人自身的爱护。当你认真刷牙,定期到医院洁牙、不咀嚼非常硬的食物,同时制做的是高档次的贵合金瓷牙,那么,它的寿命长者可达到终身。
2、烤瓷牙材料该怎么样选择
要挑选适合自己的烤瓷牙,必须知道烤瓷牙种类及区别,烤瓷牙一般分为金属烤瓷牙和全瓷牙两大类。金属烤瓷牙分为非贵金属和贵金属,全瓷牙分为铸瓷牙和电脑全瓷牙,它们所用的材料不同,加工工艺也有区别,所达到的效果也会不一样。因此,选择烤瓷牙材料要有针对性。
烤瓷牙并非价格越贵越好,要根据自己的牙齿的实际情况,以及家庭,经济等各方面,选择一款适合自己的烤瓷牙,才是更重要的。推荐阅读:3D全瓷牙
中韩·唯美口腔拥有的3D全瓷牙采用更高端的氧化锆材料,运用先进的CT三维数字扫描技术、电脑智能CAD/CAM系统设计,在短时间内根据患者的口腔条件、脸型、肤色,量身定做个性化全瓷牙修复美容方案。3D全瓷牙拥有完美的精密度;具有真牙相匹配的透光性,色泽逼真,可媲美自然牙;良好的生物相容性,对牙龈无刺激;强度绝佳,强度超出真牙,拥有卓越的咬合力量,无不良金属离子渗出,磨牙较少,更大程度地保留原有的牙齿组织,所以能达到更佳的美齿效果及与软组织的更舒适接触。点击在线咨询,了解全瓷牙的优惠信息!在线预约可享更多优惠!
中韩·唯美口腔牙齿美容专家推荐

莫三心教授,主任医师,硕士研究生导师。唯美口腔特邀专家,河南省口腔医学领域知名专家、郑州大学知名教授。精湛技术:牙齿种植、口腔修复、牙齿美容修复曾多次获得卫生部及省市各级表彰。主编多部并且参与编写多部国家医学教材,发表学术论文20余篇。擅于口腔修复,并涵盖口腔专业各个领域,可谓是大师级的口腔专家,在国内口腔界享有很高的声望。
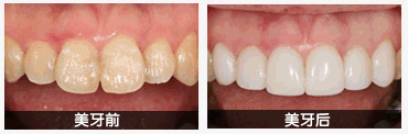
中韩·唯美口腔牙齿美容前后对比图

在线咨询,一分钟预约挂号,医务人员将会与您一对一进行沟通。中韩·唯美口腔有中国更专业的网上挂号平台,为您提供更便捷的预约就诊服务,为您推荐全国资质更深、技术更好的治疗专家,让你从此刻开始摆脱疾病的困扰。
上一篇:郑州烤瓷牙大概需要多少钱
下一篇:门牙缺失做什么样的烤瓷牙好
唯美口腔连锁·汇聚实力专家
唯美口腔连锁·品牌资讯