烤瓷牙的材料有哪些?牙齿总是避免不了会出现损伤的情况,或是畸形,又或是严重的牙齿变色,除了让我们感觉到难受之外,还给我们的口腔健康带去了更大的危害。烤瓷牙是修复牙齿问题常用的方法,那么烤瓷牙的材料有哪些呢?
中韩·唯美口腔的专家介绍,常见的作为烤瓷牙的材料有以下几种:
1、镍铬合金烤瓷牙:价格比较实惠,但是镍钴合金的化学性能不稳定,在高温情况下,容易发生金属离子游离,导致牙龈发黑、牙龈红肿、牙龈出血等不良反应。因此,一般医生不建议使用。
2.、钛合金烤瓷牙:是目前使用较频繁的一种,价格适中。它的化学性能稳定,不会出现牙龈发黑及红肿等不良反应,而且使用寿命极长。金属溶解后流动性高,可按照医生设计意图铸造,减少金属体积增加瓷牙颜色表现空间,提高美感。
3、贵金属烤瓷牙:是烤瓷牙中的贵族,以黄金或白金材料做基底。贵金属材料的性能很稳定,生物相容性好,形态逼真,做出来的牙齿更接近真牙,使用安全,对人体无害。是一种理想的烤瓷牙,不过价格昂贵。
4、全瓷牙:是烤瓷牙中极品,它更大的特点就是内外材料全都瓷粉,瓷与瓷之间的结合,使全瓷牙更坚固。由于没有金属的成分,对光线的反射更接近天然牙,也不会对牙齿产生刺激作用。其绝佳的光学性质、极好的生物相容性、逼真的色泽,看上去要比金属烤瓷牙更自然、更美观、没有过敏,是目前成功人士的美牙新宠。推荐阅读:3D全瓷牙哪种方法适合你呢?点击在线咨询,直接与专家对话了解详情!
中韩·唯美口腔拥有的3D全瓷牙采用更高端的氧化锆材料,运用先进的CT三维数字扫描技术、电脑智能CAD/CAM系统设计,在短时间内根据患者的口腔条件、脸型、肤色,量身定做个性化全瓷牙修复美容方案。3D全瓷牙拥有完美的精密度;具有真牙相匹配的透光性,色泽逼真,可媲美自然牙;良好的生物相容性,对牙龈无刺激;强度绝佳,强度超出真牙,拥有卓越的咬合力量,无不良金属离子渗出,磨牙较少,更大程度地保留原有的牙齿组织,所以能达到更佳的美齿效果及与软组织的更舒适接触。点击在线咨询,了解全瓷牙的优惠活动!在线预约可享更多优惠!
中韩·唯美口腔牙齿美容专家推荐

艾西川,副主任医师,精湛技术:颌面外科、牙齿美容、1小时德国西诺德CAD/CAM3D齿雕全瓷修复。毕业于中国口腔著名学府——西安第四军医大学,原南京军区口外知名专家,郑州市口腔医院院长。从事口腔全科临床工作三十余年,对口腔内外科有丰富的临床经验,拥有万例成功案例。曾获市级科研成果奖两项,省级三项,多部专著被列为医大教材,在国内外知名刊物上发表专业论文20余篇,多次应邀参加国内外口腔大型研讨会,于口腔治疗方面有独到的治疗方法,深受客人好评。
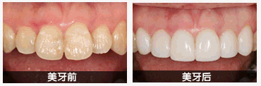
中韩·唯美口腔牙齿美容前后对比图

如果您觉得我们的文章没有解释的很清楚,或者还有其他疑问,您可以直接点击我们的在线咨询医生,中韩·唯美口腔专业咨询医生会给您耐心的,详细的解答,并给您一个满意的答复!
唯美口腔连锁·汇聚实力专家
唯美口腔连锁·品牌资讯