烤瓷牙怎么选择?很多朋友在牙齿出现问题的时候,都会通过选择烤瓷牙来修复,以还原牙齿的功能,但是技术时代的推动,烤瓷牙的种类也慢慢的增多,选择适合自己的烤瓷牙就成为了当务之急,那么烤瓷牙怎么选择呢?
中韩·唯美口腔的专家介绍:烤瓷牙分为全瓷牙、金属烤瓷牙。金属烤瓷牙又有镍铬合金烤瓷牙、钛合金烤瓷牙钴铬合金烤瓷牙。
镍铬合金烤瓷牙生物相容性差,一部份人会发生过敏现象,镍、铍元素的缓慢释放,会造成牙龈变色和口腔毒性,影响人体健康。在发达国家通常是禁用的,优点是价格低廉。所以不太建议患者做这种烤瓷牙。
钛合金烤瓷牙具有良好生物相容性,对人体无毒,同时有良好耐腐蚀性,是目前发展较好的金属材料,但钛合金烤瓷牙的意义不大,因为含钛元素5%左右,绝大部分是镍、铬。
钴铬合金烤瓷牙是目前比较流行的中档修复体,因为这种烤瓷牙套价格适中,物理性能可以,由于不含镍元素,生物相容性大大提高,造成牙龈变色的概率也降低。钴铬合金烤瓷牙价格相对与贵金属烤瓷牙来说也比较低,是适合大众型的烤瓷牙,是老百姓真正做的起的烤瓷牙。推荐阅读:3D全瓷牙
全瓷牙,顾名思义,就是全部由瓷做成,不含金属。这就从根本上解决了金属离子析出所造成的各种问题。也不会产生牙龈染色。哪种方法适合你呢?点击在线咨询,直接与专家对话了解详情!
中韩·唯美口腔拥有的3D全瓷牙采用更高端的氧化锆材料,运用先进的CT三维数字扫描技术、电脑智能CAD/CAM系统设计,在短时间内根据患者的口腔条件、脸型、肤色,量身定做个性化全瓷牙修复美容方案。3D全瓷牙拥有完美的精密度;具有真牙相匹配的透光性,色泽逼真,可媲美自然牙;良好的生物相容性,对牙龈无刺激;强度绝佳,强度超出真牙,拥有卓越的咬合力量,无不良金属离子渗出,磨牙较少,更大程度地保留原有的牙齿组织,所以能达到更佳的美齿效果及与软组织的更舒适接触。点击在线咨询,了解全瓷牙的优惠活动!在线预约可享更多优惠!
中韩·唯美口腔牙齿美容专家推荐

艾西川,副主任医师,精湛技术:颌面外科、牙齿美容、1小时德国西诺德CAD/CAM3D齿雕全瓷修复。毕业于中国口腔著名学府——西安第四军医大学,原南京军区口外知名专家,郑州市口腔医院院长。从事口腔全科临床工作三十余年,对口腔内外科有丰富的临床经验,拥有万例成功案例。曾获市级科研成果奖两项,省级三项,多部专著被列为医大教材,在国内外知名刊物上发表专业论文20余篇,多次应邀参加国内外口腔大型研讨会,于口腔治疗方面有独到的治疗方法,深受客人好评。
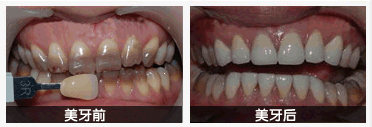
中韩·唯美口腔牙齿美容前后对比图

如果您觉得我们的文章没有解释的很清楚,或者还有其他疑问,您可以直接点击我们的在线咨询医生,中韩·唯美口腔专业咨询医生会给您耐心的,详细的解答,并给您一个满意的答复!
上一篇:全瓷牙修复后要注意什么
下一篇:烤瓷牙的材料有哪些
唯美口腔连锁·汇聚实力专家
唯美口腔连锁·品牌资讯