一颗烤瓷牙多少钱?烤瓷牙修复牙齿问题的功能逐步的得到了大家的认识,受到了越来越多的朋友欢迎,但是对于烤瓷牙价格方面的认识,多数朋友还是不知晓的。那么烤瓷牙的价格受到什么因素的制约呢?一颗烤瓷牙多少钱呢?
一颗烤瓷牙多少钱
烤瓷牙的价格种类比较多,低、中、高端的烤瓷牙都有,价格上差别也比较大,主要是国内的地区经济差异造成了不同地区的烤瓷牙的价格有所差异。
烤瓷牙多少钱的影响因素还有很多,目前烤瓷牙的种类很多,有合金联合烤瓷、全瓷、水晶瓷等,不同种类烤瓷牙的价格不一样。那种烤瓷牙的种类适合你呢?点击在线咨询,直接与专家对话了解详情!
烤瓷牙多少钱和患者选择烤瓷牙材质有关,一个好的烤瓷牙,有赖于临床工程师规范的操作,正确的设计,专业的修复理论和技师的密切配合等,否则,将难以达到理想的修复效果。从侧面上讲临床的专业技术也是影响一颗烤瓷牙多少钱的一个因素。
烤瓷牙技术推荐——3D全瓷牙
中韩·唯美口腔拥有的3D全瓷牙采用更高端的氧化锆材料,运用先进的CT三维数字扫描技术、电脑智能CAD/CAM系统设计,在短时间内根据患者的口腔条件、脸型、肤色,量身定做个性化全瓷牙修复美容方案。3D全瓷牙拥有完美的精密度;具有真牙相匹配的透光性,色泽逼真,可媲美自然牙;良好的生物相容性,对牙龈无刺激;强度绝佳,强度超出真牙,拥有卓越的咬合力量,无不良金属离子渗出,磨牙较少,更大程度地保留原有的牙齿组织,所以能达到更佳的美齿效果及与软组织的更舒适接触。点击在线咨询,了解全瓷牙的优惠活动!在线预约可享更多优惠!
中韩·唯美口腔牙齿美容专家推荐

艾西川,副主任医师,精湛技术:颌面外科、牙齿美容、1小时德国西诺德CAD/CAM3D齿雕全瓷修复。毕业于中国口腔著名学府——西安第四军医大学,原南京军区口外知名专家,郑州市口腔医院院长。从事口腔全科临床工作三十余年,对口腔内外科有丰富的临床经验,拥有万例成功案例。曾获市级科研成果奖两项,省级三项,多部专著被列为医大教材,在国内外知名刊物上发表专业论文20余篇,多次应邀参加国内外口腔大型研讨会,于口腔治疗方面有独到的治疗方法,深受客人好评。
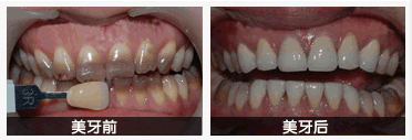
中韩·唯美口腔牙齿美容前后对比图

如果您觉得我们的文章没有解释的很清楚,或者还有其他疑问,您可以直接点击我们的在线咨询医生,中韩·唯美口腔专业咨询医生会给您耐心的,详细的解答,并给您一个满意的答复!
上一篇:烤瓷牙的材料有哪些
下一篇:郑州烤瓷牙费用是多少
唯美口腔连锁·汇聚实力专家
唯美口腔连锁·品牌资讯