烤瓷牙的危害会有哪些?烤瓷牙修复牙齿问题的全面性,得到了很多朋友的认可。但是有些朋友在选择烤瓷牙修复的时候,总是碍于他人曾经做烤瓷牙失败后产生的危害而犹豫不决,对于烤瓷牙的功能也没有得到好的认识,那么烤瓷牙会不会有危害呢?危害有哪些呢?
中韩·唯美口腔专家表示:一般说来烤瓷牙本身不具有什么危害性,但是在治疗的过程中和医生的治疗水平及医院的医疗条件限制难免会存在一些“危害”,而这些所谓烤瓷牙的危害完全可以用高科技的设备以及先进的技术和精湛的医术来避免。下面先来了解烤瓷牙的危害:
连体烤瓷牙容易引起继发牙病
一般正规医院的烤瓷牙专家不会赞同使用连体烤瓷牙,因为连体烤瓷牙的弊端很多,而且不好控制,从而导致引发各种牙病,上海万众口腔医院专家提醒,做烤瓷牙一定要到正规的口腔医院接受治疗,很多人为了图便宜而吃尽了苦头,不正规的诊所软硬件设施均无法保障,给口腔组织的交叉感染提供大量“温床”,因此只有选择正规专业,您的烤瓷牙才有保障。
烤瓷牙材料导致过敏以及出血黑线
与人体的生物相容性差,部分患者配戴一段时间后颈缘处的牙龈组织会出现“黑线”,在国外甚至还有此类烤瓷牙引发的过敏反应的病历报道,要完全避免这种烤瓷牙的危害,需要选择技术好的牙医和技师,并且选择贵金属烤瓷牙或者全瓷牙。但是,因为经济原因,不是所有患者都愿意承担贵金属烤瓷牙或者全瓷牙的高昂费用,怎么办?专家建议这些朋友选择技术高超的医生和技师,技术好的医生可以减小贱金属烤瓷牙出现牙龈黑线的几率,当然,因为材料的特性,这样做无法完全避免牙龈黑线的发生。
烤瓷牙感染问题
并不是每个人都适合做烤瓷牙的。如果口腔环境不好(例如牙周炎、牙龈出血、牙龈肿胀等),容易引起感染。另外牙齿和牙冠密合不好时也容易引起继发牙病,所以需要做烤瓷牙修复的患者需要先将口腔的各种疾病治愈后方可,在中韩·唯美口腔,会对每一位口腔患者进行全套的口腔系列检查,以便及时锁定病因,全面治疗,杜绝后遗症。做烤瓷牙的时候,我们需要注意的问题是什么呢?点击在线咨询直接与专家对话了解详情!
烤瓷牙有一定的寿命
严格的说,这种说是烤瓷牙的危害是谈不上的,烤瓷牙的寿命相信很多人都知道一二,有些人的烤瓷牙能使用一辈子,而有些人的却只有短短的2-5年,为什么呢,这里还是要突出的是专业的医师和先进的技术,另外还有患者自身的口腔状况、以及对烤瓷牙的保养,各种条件缺一不可,而上海万众口腔医院能够提供的只有专业的烤瓷牙修复专家以及领先的烤瓷牙修复技术,自身的口腔以及烤瓷牙的保养就需要在医嘱下自我完成。推荐阅读:3D全瓷牙
烤瓷牙更好的方法——3D全瓷牙
韩·唯美口腔拥有的3D全瓷牙采用更高端的氧化锆材料,运用先进的CT三维数字扫描技术、电脑智能CAD/CAM系统设计,在短时间内根据患者的口腔条件、脸型、肤色,量身定做个性化全瓷牙修复美容方案。3D全瓷牙拥有完美的精密度;具有真牙相匹配的透光性,色泽逼真,可媲美自然牙;良好的生物相容性,对牙龈无刺激;强度绝佳,强度超出真牙,拥有卓越的咬合力量,无不良金属离子渗出,磨牙较少,更大程度地保留原有的牙齿组织,所以能达到更佳的美齿效果及与软组织的更舒适接触。点击在线咨询,了解全瓷牙的优惠活动,在线预约可享更多优惠!
中韩·唯美口腔牙齿修复专家推荐

艾西川,副主任医师,精湛技术:颌面外科、牙齿美容、1小时德国西诺德CAD/CAM3D齿雕全瓷修复。毕业于中国口腔著名学府——西安第四军医大学,原南京军区口外知名专家,郑州市口腔医院院长。从事口腔全科临床工作三十余年,对口腔内外科有丰富的临床经验,拥有万例成功案例。曾获市级科研成果奖两项,省级三项,多部专著被列为医大教材,在国内外知名刊物上发表专业论文20余篇,多次应邀参加国内外口腔大型研讨会,于口腔治疗方面有独到的治疗方法,深受客人好评。
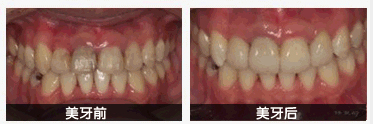
中韩·唯美口腔牙齿修复前后对比图

中韩·唯美口腔医院诊疗中心推出网络挂号预约系统,在网站上挂号成功后可减免专家挂号费,并有优惠。预约时间就诊更方便快捷,省去看专家要排队的烦恼。
唯美口腔连锁·汇聚实力专家
唯美口腔连锁·品牌资讯