哪种烤瓷牙好?很多朋友在选择牙齿修复方法的时候,都会选择烤瓷牙。但是所存在的另一个问题就是,技术的发展推动了很多烤瓷牙种类的出现。面对众多的烤瓷牙种类,有些朋友又出现了迷失的小状态,不知道改怎么选择了,那么哪种烤瓷牙好呢?
烤瓷牙更好的方法——3D全瓷牙
韩·唯美口腔拥有的3D全瓷牙采用更高端的氧化锆材料,运用先进的CT三维数字扫描技术、电脑智能CAD/CAM系统设计,在短时间内根据患者的口腔条件、脸型、肤色,量身定做个性化全瓷牙修复美容方案。3D全瓷牙拥有完美的精密度;具有真牙相匹配的透光性,色泽逼真,可媲美自然牙;良好的生物相容性,对牙龈无刺激;强度绝佳,强度超出真牙,拥有卓越的咬合力量,无不良金属离子渗出,磨牙较少,更大程度地保留原有的牙齿组织,所以能达到更佳的美齿效果及与软组织的更舒适接触。更多关于全瓷牙的知识,可点击在线咨询,直接与专家对话了解详情!
全瓷牙修复门牙的优势
1、全瓷牙具有优秀的生物相容性。全瓷牙的材料在口腔中的物理性质呈中性,它同人体的生物结构非常协调,具有高度的生物相容性,不会刺激牙龈而出现牙龈发炎、牙龈变色的现象。
2、全瓷牙具有完美的透明性和光折度。这是普通烤瓷牙不可能完成的任务,因为金属内冠的不透明,需用不透明的瓷粉来遮盖金属基底,影响修复体的透明度。全瓷牙则具有完美的透明性与折光性,即使像明星一样每时每刻暴露在镁光灯下,也完美得无懈可击。推荐阅读:3D全瓷牙
3、全瓷牙可以保护牙釉质。全瓷牙的硬度与牙釉质近似,不对牙体和口腔造成任何磨损。
4、全瓷牙结构稳定,不崩瓷。全瓷牙是用瓷做的内冠,然后在内冠的外面包上一层烤瓷冠,内外冠都是瓷,瓷和瓷结合的结构更稳定,不会出现崩瓷的情况。点击在线咨询,了解全瓷牙的优惠活动,在线预约可享更多优惠!
中韩·唯美口腔牙齿修复专家推荐

莫三心教授,主任医师,硕士研究生导师。唯美口腔特邀专家,河南省口腔医学领域知名专家、郑州大学知名教授。精湛技术:牙齿种植、口腔修复、牙齿美容修复曾多次获得卫生部及省市各级表彰。主编多部并且参与编写多部国家医学教材,发表学术论文20余篇。擅于口腔修复,并涵盖口腔专业各个领域,可谓是大师级的口腔专家,在国内口腔界享有很高的声望。
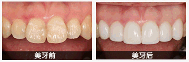
中韩·唯美口腔牙齿修复前后对比图

中韩·唯美口腔医院诊疗中心推出网络挂号预约系统,在网站上挂号成功后可减免专家挂号费,并有优惠。预约时间就诊更方便快捷,省去看专家要排队的烦恼。
上一篇:烤瓷牙的危害会有哪些
下一篇:烤瓷牙的价格多少
唯美口腔连锁·汇聚实力专家
唯美口腔连锁·品牌资讯