“一笑倾城,再笑倾国”,这是描述古代美人的佳句,可是再美的笑容若没有一口洁白美观的牙齿,也就失去颜色,沦为笑柄。没有良好的口腔习惯,再加上先天因素,很多人都出现了牙齿口腔问题,牙齿不齐、着色、甚至折断等,都对个人形象造成严重影响。爱美之心,人皆有之,这着实让很多爱美人士发愁,如今烤瓷牙的问世,解决了这个难题,对广大患者来说,宛如天降福音。既然烤瓷牙这么受欢迎,那么,烤瓷牙价格多少?
烤瓷牙价格多少?烤瓷牙是瓷粉经过高温烧结熔附于金属内冠表面而形成的全冠修复体。一直能够有效的解决由于各种原因引起的牙齿问题,烤特别是对于牙齿不齐、牙齿着色、牙齿残缺等具有很好的效果。烤瓷牙由内部的金属基底层和外部的瓷层两层构成,因此,烤瓷牙价格多少多受材料影响,主要以下三种:
1、镍铬合金烤瓷牙:镍铬合金烤瓷牙是目前国内做的更多的烤瓷牙,镍铬合金耐腐蚀、价格低廉,医用镍镉合金,主要由镍、铬及其他少量对人体无害的金属元素组成;在复杂的口腔环境中,暴露在口腔中的金属部分会慢慢的分解,并释放黑色的氧化物,导致局部牙龈组织染色。镍铬合金烤瓷牙的临床收费在每单位大约在几百元。
2、贵金属烤瓷牙:采用进口的医用金合金,其中金含量82~90左右,是目前更优良的烤瓷修复体,黄金稳定的金属特性决定了它比较好的生物相容性。是比较理想的修复材料之一,与人体组织的相容性非常好,一般不会出现刺激症状引发牙龈缘的炎症、和龈边缘变黑问题。目前烤瓷牙的种类与价钱之每颗贵金属烤瓷牙的费用每单位在几千元左右。
3、全瓷牙:全瓷牙是一种更具美观效果的牙齿修复体,坚硬、耐磨、抗压强度高,外观自然纯真,晶莹剔透、色泽逼真,接近天然牙。如何选择适合自己的烤瓷牙呢?点击在线咨询,直接与专家交谈了解详情!
中韩·唯美口腔技术推荐
中韩·唯美口腔拥有的3D全瓷牙采用更高端的氧化锆材料,运用先进的CT三维数字扫描技术、电脑智能CAD/CAM系统设计,在短时间内根据患者的口腔条件、脸型、肤色,量身定做个性化全瓷牙修复美容方案。3D全瓷牙拥有完美的精密度;具有真牙相匹配的透光性,色泽逼真,可媲美自然牙;良好的生物相容性,对牙龈无刺激;强度绝佳,强度超出真牙,拥有卓越的咬合力量,无不良金属离子渗出,磨牙较少,更大程度地保留原有的牙齿组织,所以能达到更佳的美齿效果及与软组织的更舒适接触。推荐阅读:3D全瓷牙
中韩·唯美口腔牙齿美容专家推荐

艾西川,副主任医师,精湛技术:颌面外科、牙齿美容、1小时德国西诺德CAD/CAM3D齿雕全瓷修复。毕业于中国口腔著名学府——西安第四军医大学,原南京军区口外知名专家,郑州市口腔医院院长。从事口腔全科临床工作三十余年,对口腔内外科有丰富的临床经验,拥有万例成功案例。曾获市级科研成果奖两项,省级三项,多部专著被列为医大教材,在国内外知名刊物上发表专业论文20余篇,多次应邀参加国内外口腔大型研讨会,于口腔治疗方面有独到的治疗方法,深受客人好评。点击在线咨询,了解牙齿矫正的优惠信息!在线预约可享更多优惠!
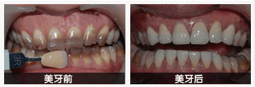
中韩·唯美口腔全瓷牙修复前后对比图

温馨提示:中韩·唯美口腔医院拥有先进的网络远程会诊信息系统,为每一位患者争取更佳治疗时机、享受更知名医疗资源、申请更优惠的治疗价格。网上挂号—方便快捷,在线咨询时间获取更需信息 。
上一篇:烤瓷牙治疗前需要做哪些准备工作
下一篇:烤瓷牙的危害会有哪些
唯美口腔连锁·汇聚实力专家
唯美口腔连锁·品牌资讯