烤瓷牙治疗前需要做哪些准备工作?再美的笑容若没有一口洁白美观的牙齿,也就失去颜色,沦为笑柄。爱美是人类自古以来的天性,所谓,“窈窕淑女,君子好逑”,但是很多人却因为种种原因导致牙齿出现问题,严重影响了个人的形象。往往在交往中,洁白美观的牙齿容易给人留下美好的印象,因此恢复牙齿美观整齐非常有必要,烤瓷牙对于牙齿问题有着良好得效果。那么,烤瓷牙治疗前需要做哪些准备工作?
烤瓷牙治疗前需要做哪些准备工作?烤瓷牙治疗之前需要根据患者牙齿的情况制定相应的修复治疗方案,因此都要进行一些相应的口腔检查准备工作,为的是避免镶牙引发口腔炎症等不适,影响镶牙的顺利进行。烤瓷牙治疗前需要的准备工作如下所示:
1、检查有无龋齿。各种类型的龋齿都要进行充填修复。
2、凡存在牙髓和尖周病变者都要作牙髓及根管治疗。
3、因龋坏造成牙冠缺失的残留牙根,应根据X光牙片上根尖有无病变再决定其去留,凡是通过治疗能够保留的牙根尽量给予保留。以防牙根拔除后引起牙槽骨吸收。有的残根经过治疗和修复不仅可以恢复牙冠的形态和功能,而且还可作为基牙用。想要了解更多注意事项,点击在线咨询,与专家一对一交流,详细了解!
4、检查牙周与牙槽骨的情况。如果有牙龈炎时要进行洁治,有牙周炎时要结合牙槽骨组织吸收情况决定治疗方案。如果牙槽骨严重吸收伴牙体松动就可能需要拔除患牙。
5、检查拔牙创的愈合情况、牙槽骨的丰满度、有无骨尖、骨突和系带附着情况
中韩·唯美口腔技术推荐
中韩·唯美口腔拥有的3D全瓷牙采用更高端的氧化锆材料,运用先进的CT三维数字扫描技术、电脑智能CAD/CAM系统设计,在短时间内根据患者的口腔条件、脸型、肤色,量身定做个性化全瓷牙修复美容方案。3D全瓷牙拥有完美的精密度;具有真牙相匹配的透光性,色泽逼真,可媲美自然牙;良好的生物相容性,对牙龈无刺激;强度绝佳,强度超出真牙,拥有卓越的咬合力量,无不良金属离子渗出,磨牙较少,更大程度地保留原有的牙齿组织,所以能达到更佳的美齿效果及与软组织的更舒适接触。推荐阅读:3D全瓷牙
中韩·唯美口腔牙齿美容专家推荐

艾西川,副主任医师,精湛技术:颌面外科、牙齿美容、1小时德国西诺德CAD/CAM3D齿雕全瓷修复。毕业于中国口腔著名学府——西安第四军医大学,原南京军区口外知名专家,郑州市口腔医院院长。从事口腔全科临床工作三十余年,对口腔内外科有丰富的临床经验,拥有万例成功案例。曾获市级科研成果奖两项,省级三项,多部专著被列为医大教材,在国内外知名刊物上发表专业论文20余篇,多次应邀参加国内外口腔大型研讨会,于口腔治疗方面有独到的治疗方法,深受客人好评。点击在线咨询,了解牙齿矫正的优惠信息!在线预约可享更多优惠!
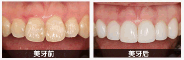
中韩·唯美口腔全瓷牙修复前后对比图

温馨提示:做烤瓷牙,一定要选择到正规专业的口腔医院,以免受到不必要的伤害。如果您对烤瓷牙还想有更多的了解,建议咨询我们中韩·唯美口腔的在线专家,或者来我院和专家面对面交流。
上一篇:烤瓷牙适用于那些情况
下一篇:烤瓷牙价格多少
唯美口腔连锁·汇聚实力专家
唯美口腔连锁·品牌资讯