牙齿地包天的矫正费用是多少?畸形牙齿是危害我们口腔健康的一个重要的因素,改变畸形牙齿的状况成为非常急迫的事情。地包天是一种常见的牙齿畸形状况,那么牙齿地包天的矫正费用是多少呢?
牙齿地包天矫正费用与众多因素有关:
牙齿基础条件:不同患者由于牙齿病变的情况不同,需要采用的时间和方法等都是不一样的,因此也会造成牙齿矫正费用的问题的差异。你的牙齿情况是怎样的呢?点击在线咨询,直接与专家对话了解详情!
医院条件:一个专业的牙齿矫正美容机构,在硬件投入和软件建设上是非常重视的,一套综合的牙齿矫正设备就是几百万,医院的技术、质量、信誉、服务也不尽相同,对求美者的承诺也是不一样的。
医生技术:牙齿矫正医生不仅要精通口腔的治疗,也要有较强的审美观念、还有赖于临床医师专业的修复理论支撑,规范的操作,正确的涉及和技师的密切配合等。
材料品质:选择不同的牙齿矫正方法对于地包天牙齿矫正费用这一问题的影响力是很大的,这一部分也是影响牙齿矫正价格的更大因素。
牙齿矫正更好的方法——韩式隐形矫正
中韩·唯美口腔率先引进的韩式隐形正畸技术继承了传统的牙颌畸形矫治的理念,是现代口腔医学、计算机辅助四维诊断、个性化设计及数字化成型技术的完美结合,是正畸领域的新突破。韩式隐形正畸由中韩齿科专家联合坐诊,实现全程无痛无创快速疗法,专门治疗各种牙齿排列不整齐,咬合错位等牙齿形态问题,还你一口整齐、坚固耐用的健康原牙。推荐阅读:韩式隐形矫正
该技术是完全个性化的设计理念,可根据正畸者的情况佩带不同的矫治器,完全不影响正畸者的生活。具有隐形高效,稳定美观的特点,并且大大地缩短了疗程,使治疗时间缩短近三分之一,复诊时间缩短二分之一,为正畸者大大节省了时间,透明隐形正畸矫正矫治器厚度不到1mm,透明、光滑、舒适,无异物感和粘膜刺激,是目前更受欢迎和信赖的美齿项目。点击在线咨询,了解牙齿矫正的优惠信息!在线预约可享更多优惠!
中韩·唯美口腔牙齿矫正专家推荐

李玉如,口腔正畸科。副教授,副主任医师,硕士生导师,口腔医学正畸专业硕士。1991年毕业于中山医科大学口腔系,一直从事口腔正畸的临床、教学和科研工作,临床经验丰富,并注重知识的学习更新,2004年硕士学位毕业。擅长正畸科各类牙颌畸形及疑难病例的矫治,对青少年反牙合、开牙合、功能性矫治、阻生牙的导萌牵引及成年人牙颌畸形、牙周病的正畸治疗有良好的疗效。
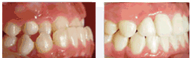
中韩·唯美口腔牙齿矫正前后对比图

中韩·唯美口腔专家团队对畸形牙治疗都积累丰富的临床经验,借康复患者之间的口碑相传,声名远播,全国患者纷纷前来就诊,您的更佳选择。更多口腔健康方面的知识,您可以咨询在线医生。
上一篇:地包天矫正方法哪种好
下一篇:地包天矫正大概需要多少钱
唯美口腔连锁·汇聚实力专家
唯美口腔连锁·品牌资讯