地包天矫正大概需要多少钱?口腔不良习惯的养成,极易养成牙齿的畸形,又或者是遗传原因所造成的牙齿畸形,总是让我们感到十分的困惑,正常的生活深受干扰。因此,矫正畸形牙齿就显得尤为重要。地包天是牙齿畸形的一种,那么地包天矫正大概需要多少钱呢?
地包天矫正大概需要多少钱?地包天矫正的价格通常是与下面几个因素有关:
1、与地域因素有关:由于不同地区经济发展程度不同,消费水平也不一样,因此,地包天矫正费用也就存在差异。一般来说,在经济较发达的地区矫正地包天,其费用较高些。经济较落后的地区,地包天矫正大概需要多少钱则相对低一些。
2、与自身牙齿情况、选择的方法有关:按牙齿畸形的情况、难度、方法来选择,费用均不同。比如:矫正治疗的设计、治疗用的材料、治疗的疗程以及全国各个地区地域性差异往往会影响地包天矫正大概需要多少钱。如果患者的牙齿地包天症状较凸出,矫正难度就会较大,矫正时间就会较长,那么相应地,患者地包天矫正大概需要多少钱就会较高些。什么样的矫正方法适合你呢?点击在线咨询,直接与专家对话了解详情!
3、地包天矫正的医院:地包天矫正并不是一个简单的手术,地包天矫正是否安全的关键在于,地包天矫正专家是否具有流行的时尚审美观和熟练的技术,在于地包天矫正医院是否拥有先进的设备。地包天矫正医院所拥有的医资,设备,技术,层次的不同,会影响地包天矫正大概需要多少钱。推荐阅读:韩式隐形正畸
牙齿矫正技术推荐——韩式四维隐形正畸技术
中韩·唯美口腔率先引进的韩式隐形正畸技术继承了传统的牙颌畸形矫治的理念,是现代口腔医学、计算机辅助四维诊断、个性化设计及数字化成型技术的完美结合,是正畸领域的新突破。韩式隐形正畸由中韩齿科专家联合坐诊,实现全程无痛无创快速疗法,专门治疗各种牙齿排列不整齐,咬合错位等牙齿形态问题,还你一口整齐、坚固耐用的健康原牙。该技术是完全个性化的设计理念,可根据正畸者的情况佩带不同的矫治器,完全不影响正畸者的生活。具有隐形高效,稳定美观的特点,并且大大地缩短了疗程,使治疗时间缩短近三分之一,复诊时间缩短二分之一,为正畸者大大节省了时间,透明隐形正畸矫正矫治器厚度不到1mm,透明、光滑、舒适,无异物感和粘膜刺激,是目前更受欢迎和信赖的美齿项目。点击在线咨询,了解牙齿矫正的优惠信息!在线预约可享更多优惠!
中韩·唯美口腔牙齿矫正专家推荐

李玉如,口腔正畸科。副教授,副主任医师,硕士生导师,口腔医学正畸专业硕士。1991年毕业于中山医科大学口腔系,一直从事口腔正畸的临床、教学和科研工作,临床经验丰富,并注重知识的学习更新,2004年硕士学位毕业。擅长正畸科各类牙颌畸形及疑难病例的矫治,对青少年反牙合、开牙合、功能性矫治、阻生牙的导萌牵引及成年人牙颌畸形、牙周病的正畸治疗有良好的疗效。
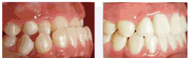
中韩·唯美口腔牙齿矫正前后对比图

如果您觉得我们的文章没有解释的很清楚,或者还有其他疑问,您可以直接点击我们的在线咨询医生,中韩·唯美口腔专业咨询医生会给您耐心的,详细的解答,并给您一个满意的答复!
上一篇:牙齿地包天的矫正费用是多少
下一篇:地包天矫正大概要多少钱
唯美口腔连锁·汇聚实力专家
唯美口腔连锁·品牌资讯