地包天矫正方法哪种好?牙齿若是地包天,对于爱美的你来讲,肯定是一场灾难性的打击,地包天严重影响了我们的外在形象,而且还对于我们口腔的健康产生很大的隐患。所以矫正地包天牙齿是必行的。那么地包天矫正方法哪种好呢?
中韩·唯美口腔专家介绍:地包天的主要表现是下前牙咬在上前牙的外面,所以导致咀嚼功能不能正常发挥,影响人的口腔及身体的康健。早期矫正的方法有很多,比较常见的就是传统的钢丝矫正,但是随着技术的日益进步,传统的钢丝矫正已经逐渐遭到了淘汰,因为钢丝矫正不仅影响人的美观度,而且还容易伤害人的口腔黏膜,更主要的是钢丝矫正的时长过于漫长。
在这里为大家介绍的就是隐形矫正技术,中韩·唯美口腔的专家告诉我们,隐形矫正是一种将矫正器全部安装在牙齿上的矫正技术。该手术治疗期间仍然可以进行正常的社交和职业活动,矫正器是不会被发觉的。手术会在不知不觉中达到效果,适合社交较多或者比较爱美的人士。
隐形矫正更好的方法——韩式隐形矫正
韩式四维隐形正畸技术继承了传统的牙颌畸形矫治的理念,是现代口腔医学、计算机辅助四维诊断、个性化设计及数字化成型技术的完美结合,是正畸领域的新突破。韩式四维隐形正畸由知名专家坐诊,实现全程无痛无创快速疗法,专门治疗各种牙齿排列不整齐,咬合错位等牙齿形态问题,还你一口整齐、坚固耐用的健康原牙。推荐阅读:韩式隐形矫正
韩式四维隐形正畸技术是完全个性化的设计理念,可根据正畸者的情况佩带不同的矫治器,完全不影响正畸者的生活。具有隐形高效,稳定美观的特点,并且大大地缩短了疗程,使治疗时间缩短近三分之一,复诊时间缩短二分之一,为正畸者大大节省了时间,透明韩式四维隐形正畸矫正矫治器厚度不到1mm,透明、光滑、舒适,无异物感和粘膜刺激,是目前更受欢迎和信赖的美齿项目。点击在线咨询,了解牙齿矫正的优惠活动!在线预约可享更多优惠!
中韩·唯美口腔牙齿矫正专家推荐

李玉如,口腔正畸科。副教授,副主任医师,硕士生导师,口腔医学正畸专业硕士。1991年毕业于中山医科大学口腔系,一直从事口腔正畸的临床、教学和科研工作,临床经验丰富,并注重知识的学习更新,2004年硕士学位毕业。擅长正畸科各类牙颌畸形及疑难病例的矫治,对青少年反牙合、开牙合、功能性矫治、阻生牙的导萌牵引及成年人牙颌畸形、牙周病的正畸治疗有良好的疗效。
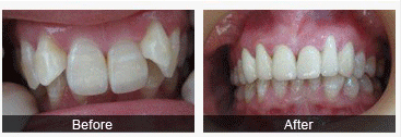
中韩·唯美口腔牙齿矫正前后对比图

如果您还有想要了解的情况,可以点击我们的在线咨询,中韩·唯美口腔的在线专家会给您更专业,更详细的解答,或是拨打我们的24小时康复热线,与专家一对一详解。
上一篇:地包天矫正价格是多少
下一篇:牙齿地包天的矫正费用是多少
唯美口腔连锁·汇聚实力专家
唯美口腔连锁·品牌资讯