成人牙齿矫正价格与哪些因素有关?成人牙齿畸形虽然年龄上过了牙齿矫正的更佳时期,但是技术的发展让更多的牙齿畸形朋友有了很好的牙齿矫正条件。那么成人牙齿矫正价格与哪些因素有关呢?下面跟随郑州知名口腔科专家来了解一下。
中韩·唯美口腔医院专家介绍,成人牙齿矫正方法有很多种,每种所需的费用都是不一样的。另外,价格问题也和牙齿的畸形程度有关,畸形严重的话,牙齿矫正的费用当然会高很多。
首先,成人牙齿矫正多少钱受地区的影响。可以想象,如果同样的治疗,价格会相差很大。一线城市要比内地城市的价格贵很多。
其次,成人牙齿矫正多少钱还与与矫正者的年龄也有关系。一般来说,孩子做牙齿矫正相对较容易,价格也会低一点,成年人因为矫正难度稍大,费用会相对高点。成人牙齿矫正多少钱不管在哪儿都没有一个绝对的标准,它受很多因素的影响,如:牙齿畸形程度,牙齿正畸者得年龄,医生的资质和医院的等级等。推荐阅读:韩式隐形正畸
牙齿矫正技术推荐——韩式隐形正畸
中韩·唯美口腔率先引进的韩式四维隐形正畸技术继承了传统的牙颌畸形矫治的理念,是现代口腔医学、计算机辅助四维诊断、个性化设计及数字化成型技术的完美结合,是正畸领域的新突破。韩式四维隐形正畸由知名专家坐诊,实现全程无痛无创快速疗法,专门治疗各种牙齿排列不整齐,咬合错位等牙齿形态问题,还你一口整齐、坚固耐用的健康原牙。点击在线咨询,了解牙齿矫正的优惠信息!在线预约可享更多优惠!
中韩·唯美口腔牙齿矫正专家推荐

李玉如,口腔正畸科。副教授,副主任医师,硕士生导师,口腔医学正畸专业硕士。1991年毕业于中山医科大学口腔系,一直从事口腔正畸的临床、教学和科研工作,临床经验丰富,并注重知识的学习更新,2004年硕士学位毕业。擅长正畸科各类牙颌畸形及疑难病例的矫治,对青少年反牙合、开牙合、功能性矫治、阻生牙的导萌牵引及成年人牙颌畸形、牙周病的正畸治疗有良好的疗效。
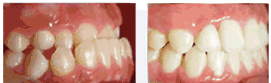
中韩·唯美口腔牙齿矫正前后对比图

如果您觉得我们的文章没有解释的很清楚,或者还有其他疑问,您可以直接点击我们的在线咨询医生,中韩·唯美口腔的专业咨询医生会给您耐心的,详细的解答,并给您一个满意的答复!
上一篇:成人牙齿矫正的价格是多少
下一篇:成年人是否还能进行牙齿矫正
唯美口腔连锁·汇聚实力专家
唯美口腔连锁·品牌资讯