成人牙齿矫正的价格是多少?牙齿畸形直接影响的就是我们的没关问题,而且给我们日常生活中食物的咀嚼及口腔保健都带来了很大的麻烦。因此,牙齿畸形还是矫正的好。那么成人牙齿矫正价格是多少呢?下面跟随郑州知名口腔科专家来了解一下。
中韩·唯美口腔专家介绍:一般来说成年人牙齿矫正的费用会稍微贵些,主要原因如下。
从客观来看,成年人的生长发育已经完成,颌面部骨缝已变为骨性融合,骨骼、神经肌肉的可塑性降低,而且成年人代谢速度变慢,生物反应性变慢,因此成人牙齿矫正比儿童牙齿矫正要复杂得多。与青少年相比,成人牙齿矫正所需要的时间相对较长,一般需要一年半到两年时间。但专家强调成人患者牙齿矫正多为自主要求,能主动配合治疗,对医嘱执行得较好,能保持口腔卫生,所以疗程有些甚至会缩短,更终的矫治效果也一样理想。
成年人牙齿矫正的特点主要在于时间较长、处理更多、隐患也更多,由于成年人的生长发育已经基本完成,所以牙齿部位的可塑性很低,再加上成年人的代谢速度较慢,生物反应性降低,所以进行牙齿矫正的时间也会更长,否则无法达到理想的矫正效果。推荐阅读:韩式隐形正畸
牙齿矫正技术推荐——韩式隐形正畸
中韩·唯美口腔率先引进的韩式四维隐形正畸技术继承了传统的牙颌畸形矫治的理念,是现代口腔医学、计算机辅助四维诊断、个性化设计及数字化成型技术的完美结合,是正畸领域的新突破。韩式四维隐形正畸由知名专家坐诊,实现全程无痛无创快速疗法,专门治疗各种牙齿排列不整齐,咬合错位等牙齿形态问题,还你一口整齐、坚固耐用的健康原牙。点击在线咨询,了解牙齿矫正的优惠信息!在线预约可享更多优惠!
中韩·唯美口腔牙齿矫正专家推荐

李玉如,口腔正畸科。副教授,副主任医师,硕士生导师,口腔医学正畸专业硕士。1991年毕业于中山医科大学口腔系,一直从事口腔正畸的临床、教学和科研工作,临床经验丰富,并注重知识的学习更新,2004年硕士学位毕业。擅长正畸科各类牙颌畸形及疑难病例的矫治,对青少年反牙合、开牙合、功能性矫治、阻生牙的导萌牵引及成年人牙颌畸形、牙周病的正畸治疗有良好的疗效。
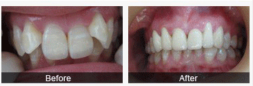
中韩·唯美口腔牙齿矫正前后对比图

如果您觉得我们的文章没有解释的很清楚,或者还有其他疑问,您可以直接点击中韩·唯美口腔的在线咨询咨询医生,我院专业咨询医生会给您耐心的,详细的解答,并给您一个满意的答复!
上一篇:成人牙齿整形需要多少钱
下一篇:成人牙齿矫正价格与哪些因素有关
唯美口腔连锁·汇聚实力专家
唯美口腔连锁·品牌资讯