成人牙齿整形需要多少钱?对畸形牙齿进行整形,不只是一种对时尚的追求,更大的利处是对于我们口腔健康的保护。因此,牙齿畸形了,我们要选择及时的进行牙齿整形。那么成人牙齿整形需要多少钱呢?
成人牙齿整形需要多少钱
1、影响成人牙齿整形需要多少钱因素就是求美者所在地当地的物价水平,每个地区都是不一样的,对于这个问题,可以综合考虑。
2、求美者所选用的牙齿矫正的方法,不同的方法,价格是不一样的,具体的价格,各医院收费标准是不一样的。
3、医生的资质和医院的等级对成人牙齿整形需要多少钱也是不一样的,矫正出来的效果也是有差别的。
4、要看矫正者的年龄和牙齿畸形程度了,如果是孩子,比较好整,可能稍微比成年便宜一些,如果已经成年了,牙齿整形就比较贵,而且要带至少两三年牙套,一般成人牙齿整形需要多少钱比较高,要视情况而定。推荐阅读:韩式隐形正畸
牙齿矫正技术推荐——韩式隐形正畸
中韩·唯美口腔率先引进的韩式四维隐形正畸技术继承了传统的牙颌畸形矫治的理念,是现代口腔医学、计算机辅助四维诊断、个性化设计及数字化成型技术的完美结合,是正畸领域的新突破。韩式四维隐形正畸由知名专家坐诊,实现全程无痛无创快速疗法,专门治疗各种牙齿排列不整齐,咬合错位等牙齿形态问题,还你一口整齐、坚固耐用的健康原牙。点击在线咨询,了解牙齿矫正的优惠信息!在线预约可享更多优惠!
中韩·唯美口腔牙齿矫正专家推荐

李玉如,口腔正畸科。副教授,副主任医师,硕士生导师,口腔医学正畸专业硕士。1991年毕业于中山医科大学口腔系,一直从事口腔正畸的临床、教学和科研工作,临床经验丰富,并注重知识的学习更新,2004年硕士学位毕业。擅长正畸科各类牙颌畸形及疑难病例的矫治,对青少年反牙合、开牙合、功能性矫治、阻生牙的导萌牵引及成年人牙颌畸形、牙周病的正畸治疗有良好的疗效。
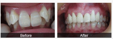
中韩·唯美口腔牙齿矫正前后对比图

温馨提示:如果你在阅读文章时碰到不清楚的地方,可以通过这在线咨询咨询中韩·唯美口腔的专家;如果你需要看病又不想排队挂号,也可以通过这里提前预约,我们将免费为你安排。
上一篇:成人矫正需要注意哪些问题
下一篇:成人牙齿矫正的价格是多少
唯美口腔连锁·汇聚实力专家
唯美口腔连锁·品牌资讯