成年人是否还能进行牙齿矫正?长期的不良习惯,加上对口腔保健的不重视,很多成年人小时候的牙齿畸形未能得到诊治,以至于越来越严重,如今面临对形象的严重威胁,很多成年人很烦恼,那么成年人是否还能进行牙齿矫正?
唯美口腔专家表示,牙齿矫正已经没有年龄限制了,成年人也是可以进行牙齿矫正的。
成年人矫正牙齿和未成年完全不一样,因为口腔部的牙齿和肌肉早已发育完成,颅面部骨缝已变为骨性融合,可塑性比较低低,并且成年人代谢速度变慢,生物反应性降低,增加了牙齿矫正冶疗的难度。
成年人牙齿矫正更为复杂,成年人的错颌畸形常伴随有其它口腔疾患。如龋病,牙周病、缺牙、牙齿磨耗、残冠、残根、口内不良修复物、颌下颌关节疾病等。了解更多牙齿矫正,点击在线咨询,直接与专家相互交流,详细咨询!
成人牙齿矫正之前一定要进行口腔检查,在口腔疾病得到有效控制之后再进行牙齿矫正,成年人生长发育已经停止,牙槽骨改建比较缓慢,牙齿移动相对慢一些,所需要的冶疗时间较长。但是成年人牙齿矫正也有其自身优势,成年人进行牙齿矫正更能很好的配合医生,按照医生的叮嘱进行牙齿矫正的护理,因此,成人矫正的效果是非常好的。
中韩·唯美口腔牙齿矫正技术推荐
韩式四维隐形正畸技术是完全个性化的设计理念,可根据正畸者的情况佩带不同的矫治器,完全不影响正畸者的生活。具有隐形高效,稳定美观的特点,并且大大地缩短了疗程,使治疗时间缩短近三分之一,复诊时间缩短二分之一,为正畸者大大节省了时间,透明韩式四维隐形正畸矫正矫治器厚度不到1mm,透明、光滑、舒适,无异物感和粘膜刺激,是目前更受欢迎和信赖的美齿项目。推荐阅读:韩式隐形正畸
中韩·唯美口腔牙齿矫正专家推荐

李玉如,口腔正畸科。副教授,副主任医师,硕士生导师,口腔医学正畸专业硕士。1991年毕业于中山医科大学口腔系,一直从事口腔正畸的临床、教学和科研工作,临床经验丰富,并注重知识的学习更新,2004年硕士学位毕业。擅长正畸科各类牙颌畸形及疑难病例的矫治,对青少年反牙合、开牙合、功能性矫治、阻生牙的导萌牵引及成年人牙颌畸形、牙周病的正畸治疗有良好的疗效。点击在线咨询,了解牙齿矫正的优惠信息!在线预约可享更多优惠!
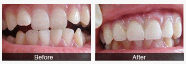
中韩·唯美口腔牙齿矫正前后对比图

温馨提示:以上内容是关于成人牙齿矫正的介绍,希望对广大成人患者有所帮助,及时改善牙齿问题,培养我们的形象,更多疑问,随时在线咨询我们中韩·唯美口腔专家,将给出专业的意见并提供更优质的咨询服务。
上一篇:成人牙齿矫正价格与哪些因素有关
下一篇:成人做牙齿矫正难吗
唯美口腔连锁·汇聚实力专家
唯美口腔连锁·品牌资讯