成人牙齿矫正费用多少?畸形的牙齿让我们在面对他人善意的微笑之时,只能以低头不语来面对,,而且让我们在口腔清洁的时候也遇到了很大的麻烦,病菌自然的就遗留在了口腔内,所以牙齿畸形还是要及时的矫正的,那么成人牙齿矫正费用多少呢?
针对成人牙齿矫正多少钱啊的问题,中韩·唯美口腔专家介绍,个人选择的医院不同,个人体质不同,它的价格也是不同的。通常影响成人牙齿矫正多少钱的因素有以下几方面:
1、矫正的费用“因地而异”。在不同地区会有城乡差异;在不同级别的医院会有收费标准的级别差异;在不同性质的医院中,各医院的收费标准会略有浮动等等。患者应在矫正牙齿治疗开始前向医生了解总体费用的大致情况,有备而治。
2、成人牙齿矫正多少钱的高低取决于患者想要达到的治疗目标。这一点限定了矫正牙齿治疗的难度和疗程。不难理解,成人牙齿矫正多少钱与难度和疗程是呈正比的。
3、成人牙齿矫正多少钱与患者所使用的矫正方法和需矫正的牙齿颗数有关。牙科医生会根据患者的牙齿畸形情况选择合理的矫正方法,不同的矫正方法价格不同,技术含量高的成人矫正牙齿方法的价格也高;然后医生再结合患者的经济情况为其选择合适价格的矫正方案。哪种矫正方法适合你呢?点击在线咨询直接与专家对话选择适合自己的牙齿矫正方法!推荐阅读:韩式隐形矫正
唯美口腔率先引进的韩式隐形正畸技术继承了传统的牙颌畸形矫治的理念,是现代口腔医学、计算机辅助四维诊断、个性化设计及数字化成型技术的完美结合,是正畸领域的新突破。韩式隐形正畸由中韩齿科专家联合坐诊,实现全程无痛无创快速疗法,专门治疗各种牙齿排列不整齐,咬合错位等牙齿形态问题,还你一口整齐、坚固耐用的健康原牙。点击在线咨询,了解牙齿矫正的优惠活动!在线预约可享更多优惠!
中韩·唯美口腔牙齿矫正专家推荐

李玉如,口腔正畸科。副教授,副主任医师,硕士生导师,口腔医学正畸专业硕士。1991年毕业于中山医科大学口腔系,一直从事口腔正畸的临床、教学和科研工作,临床经验丰富,并注重知识的学习更新,2004年硕士学位毕业。擅长正畸科各类牙颌畸形及疑难病例的矫治,对青少年反牙合、开牙合、功能性矫治、阻生牙的导萌牵引及成年人牙颌畸形、牙周病的正畸治疗有良好的疗效。
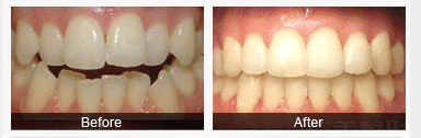
中韩·唯美口腔牙齿矫正前后对比图

如果您还有想要了解的情况,可以点击我们的在线咨询,中韩·唯美口腔的在线专家会给您更专业,更详细的解答,或是拨打我们的24小时康复热线,与专家一对一详解。
上一篇:成人牙齿矫正应注意什么
下一篇:成人牙齿矫正价格是多少
唯美口腔连锁·汇聚实力专家
唯美口腔连锁·品牌资讯