成人牙齿矫正应注意什么?成人牙齿矫正由于错过了更佳的矫正时期,要想得到矫正的良好效果,必然要付出的更多。这种付出就需要我们关注成人牙齿矫正的注意事项,下面跟随郑州知名口腔科专家来了解一下。
成人牙齿矫正应注意什么
一、牙齿矫正前全面控制牙体牙周疾病。
一般来说,成年人的错牙合畸形常伴随其它口腔疾患,如蛀牙、牙周病、缺牙、牙齿磨耗、残冠、残根以及口内不良修复物、颞下颌关节疾病等。因此,在开始正畸治疗前,要全面控制牙体牙周疾病,拆除口内牙齿修复体,否则会影响矫治器的戴用和牙齿的移动。
二、成年人在治疗的全过程中要时刻保持良好的口腔卫生条件。
由于成年人生长发育已经停止,牙槽骨改建比较缓慢,牙齿移动相对慢一些,所需要的治疗时间较长。成年人正畸治疗后更易于复发,所以治疗后的保持很重要;除了常规的正畸矫治外,对于中、重度的骨性错畸形,单靠移动牙齿不能达到理想的效果,需进行正颌-正畸联合治疗。成年人由于职业、心理因素和其它社会活动的影响,对正畸治疗的时间长短、矫治器的美观、治疗效果有较多的要求,所以常选用舌侧固定矫治器、陶瓷托槽等不影响美观的矫治装置。
三、做好充分的思想和心理准备。
成年人由于主客观多方面的因素,在治疗效果上往往不能达到完美的程度,所以成年人在进行正畸治疗时,不能急于求成,对治疗的复杂性要有充分的认识和思想准备。
四、成年人牙齿矫正要考虑全身健康状况的影响。
凡患有风湿性心脏病、冠心病、甲状腺机能减退、胃酸过多、糖尿病、关节炎、出血性疾病、癫痫等疾病者,先要使这些疾病得到控制;孕妇进行正畸治疗要慎重;如果有口腔颌面部手术史、放射治疗史、用药史等应主动向医生说明情况,以免引起不良后果。推荐阅读:韩式隐形矫正
牙齿矫正的更关键的是要选择到专业正规的整形医院的,这样才能确保矫正的效果,并且这对对于隐形牙齿矫正的价格也比较明确的。点击在线咨询,了解成人牙齿矫正的优惠活动!在线预约可享更多优惠!
中韩·唯美口腔牙齿矫正专家推荐

李玉如,口腔正畸科。副教授,副主任医师,硕士生导师,口腔医学正畸专业硕士。1991年毕业于中山医科大学口腔系,一直从事口腔正畸的临床、教学和科研工作,临床经验丰富,并注重知识的学习更新,2004年硕士学位毕业。擅长正畸科各类牙颌畸形及疑难病例的矫治,对青少年反牙合、开牙合、功能性矫治、阻生牙的导萌牵引及成年人牙颌畸形、牙周病的正畸治疗有良好的疗效。
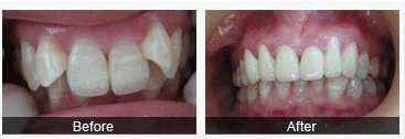
中韩·唯美口腔牙齿矫正前后对比图

如果您觉得我们的文章没有解释的很清楚,或者还有其他疑问,您可以直接点击我们的在线咨询医生,中韩·唯美口腔专业咨询医生会给您耐心的,详细的解答,并给您一个满意的答复!
上一篇:成人矫正费用是多少
下一篇:成人牙齿矫正费用多少
唯美口腔连锁·汇聚实力专家
唯美口腔连锁·品牌资讯