成人矫正费用是多少?从年龄上来看,我们就可以知道相对于儿童的牙齿矫正来讲,成人牙齿矫正有一定的困难,因此在方法的选择上和矫正的费用方面,两者都是不同的,那么成人矫正费用是多少呢?
中韩·唯美口腔专家介绍:牙齿矫正如今有很多种方法,不同的矫正方法费用也是不一样的。要根据牙齿畸形的程度选择更适合的方法来进行矫正。成人牙齿矫正费用大致要从以下几个方面来进行综合考虑。
1、和患者选择怎样的牙齿矫正方法有关。目前牙齿矫正的方法主要有以下几种:美容冠、烤瓷牙、种植牙、传统牙齿正畸、隐形牙齿正畸等,不同的方法价格也不同。哪种方法适合你呢?点击在线咨询,直接与专家对话了解详情!
2、牙齿矫正的费用和矫正者的牙齿整齐程度有关。具体价格要等医生检查过患者的牙齿状况确定好治疗方案才能确定。
3、地区价格差异明显。一线城市相对比二线城市要高。
温馨提示:人才、技术和设备是评判医院专业与否的重要指标。专业的口腔医院自然配备技术一流的医生,先进的设备,那么治疗的成果也会有保障,如果要做牙齿矫正更好选择专业的口腔医院。
中韩·唯美口腔率先引进的韩式隐形正畸技术继承了传统的牙颌畸形矫治的理念,是现代口腔医学、计算机辅助四维诊断、个性化设计及数字化成型技术的完美结合,是正畸领域的新突破。韩式隐形正畸由中韩齿科专家联合坐诊,实现全程无痛无创快速疗法,专门治疗各种牙齿排列不整齐,咬合错位等牙齿形态问题,还你一口整齐、坚固耐用的健康原牙。推荐阅读:韩式隐形矫正
该技术是完全个性化的设计理念,可根据正畸者的情况佩带不同的矫治器,完全不影响正畸者的生活。具有隐形高效,稳定美观的特点,并且大大地缩短了疗程,使治疗时间缩短近三分之一,复诊时间缩短二分之一,为正畸者大大节省了时间,透明隐形正畸矫正矫治器厚度不到1mm,透明、光滑、舒适,无异物感和粘膜刺激,是目前更受欢迎和信赖的美齿项目。点击在线咨询,了解牙齿矫正的优惠活动!在线预约可享更多优惠!
中韩·唯美口腔牙齿矫正专家推荐

李玉如,口腔正畸科。副教授,副主任医师,硕士生导师,口腔医学正畸专业硕士。1991年毕业于中山医科大学口腔系,一直从事口腔正畸的临床、教学和科研工作,临床经验丰富,并注重知识的学习更新,2004年硕士学位毕业。擅长正畸科各类牙颌畸形及疑难病例的矫治,对青少年反牙合、开牙合、功能性矫治、阻生牙的导萌牵引及成年人牙颌畸形、牙周病的正畸治疗有良好的疗效。
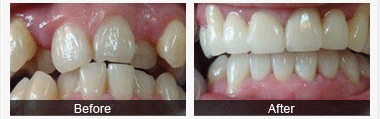
中韩·唯美口腔牙齿矫正前后对比图

如果您觉得我们的文章没有解释的很清楚,或者还有其他疑问,您可以直接点击我们的在线咨询医生,中韩·唯美口腔专业咨询医生会给您耐心的,详细的解答,并给您一个满意的答复!
上一篇:郑州口腔医院矫正牙齿怎么样
下一篇:成人牙齿矫正应注意什么
唯美口腔连锁·汇聚实力专家
唯美口腔连锁·品牌资讯