郑州口腔医院矫正牙齿怎么样?畸形牙齿的情况在我们生活中是比较常见的,因为人难免有些坏习惯。而当牙齿畸形之后而没有得到及时的矫正,则会让我们的这些坏习惯发生质变,产生的危害是很大的。因此要及时做牙齿矫正,那么郑州口腔医院矫正牙齿怎么样呢?
中韩·唯美口腔专家介绍:郑州口腔医院矫正牙齿怎么样关键不只是要看医院的环境优势,也要看其牙齿矫正技术怎么样,下面来了解一下韩式隐形矫正技术。中韩唯美率先引进的韩式隐形正畸技术继承了传统的牙颌畸形矫治的理念,是现代口腔医学、计算机辅助四维诊断、个性化设计及数字化成型技术的完美结合,是正畸领域的新突破。韩式隐形正畸由中韩齿科专家联合坐诊,实现全程无痛无创快速疗法,专门治疗各种牙齿排列不整齐,咬合错位等牙齿形态问题,还你一口整齐、坚固耐用的健康原牙。韩式隐形正畸完全引用韩国美学理念,是更适合亚洲人的牙齿矫正方法,牙齿靓丽整齐是一种纯粹的美,韩式隐形正畸是牙齿矫正界的巅峰之作,为人们打造个性化完美牙齿。中韩唯美的韩式四维牙齿矫正技术是现代口腔医学、计算机辅助三维诊断、个性化设计及数字成型技术的结合。点击在线咨询,直接与专家对话,了解自己是不是适合韩式隐形矫正!
韩式隐形矫正的优势
1.高效便捷 矫正时间缩短一半
韩式隐形正畸相对传统矫正治疗时间更短,复诊间隔次数更少,比传统矫正缩短一半的时间。
2.牙齿矫正与脸型的完美结合
韩式隐形正畸采用四维矫正技术指定牙齿矫正过程,结合三庭五眼,制成科学理想的矫正过程,以保证达到理想预定效果。
3.业内超低的拔牙率(3%以下)
与行业50%的拔牙率相比,韩式隐形正畸凭借先进的矫正技术,将拔牙率控制在3%以内。推荐阅读:韩式隐形矫正
4.全程安全舒适无异物感
相对于传统矫正,韩式隐形正畸更加轻松舒适,避免使用矫治器出现的异物感和其他不适。
5.领先的纳米级透明隐形材料
矫正器采用纳米技术研制,材料小巧迷你,透明无色。使用时不易沾染食物,不易变色,让你摆脱牙箍烦恼。
6.全球首创的四维矫正技术,精细化矫正
韩式隐形正畸运用四维矫正先进技术,不仅能做到立体化矫正,还能随时间的变化与矫正角度完美结合,不断改善脸型。点击在线咨询,了解牙齿矫正的优惠活动,在线预约可享更多优惠!
中韩·唯美口腔牙齿矫正专家推荐

李玉如,口腔正畸科。副教授,副主任医师,硕士生导师,口腔医学正畸专业硕士。1991年毕业于中山医科大学口腔系,一直从事口腔正畸的临床、教学和科研工作,临床经验丰富,并注重知识的学习更新,2004年硕士学位毕业。擅长正畸科各类牙颌畸形及疑难病例的矫治,对青少年反牙合、开牙合、功能性矫治、阻生牙的导萌牵引及成年人牙颌畸形、牙周病的正畸治疗有良好的疗效。
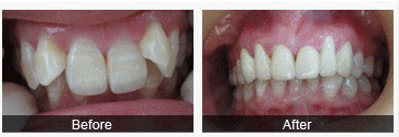
中韩·唯美口腔牙齿矫正前后对比图

中韩·唯美口腔医院诊疗中心推出网络挂号预约系统,在网站上挂号成功后可减免专家挂号费,并有优惠。预约时间就诊更方便快捷,省去看专家要排队的烦恼。
上一篇:成人还能进行牙齿矫正吗
下一篇:成人矫正费用是多少
唯美口腔连锁·汇聚实力专家
唯美口腔连锁·品牌资讯