成人还能进行牙齿矫正吗?牙齿不齐对形象的不良影响,给我们的生活和工作造成了很多不便,总是无法真正的展现自己的优势,心理上也产生了阴影,性格变得沉默寡言起来。特别是成年人,生活中不免要和他人交往,更是对此很在意,那么成人还能进行牙齿矫正吗?
成人还能进行牙齿矫正吗?唯美口腔专家提示,牙齿矫正如今已经没有严格的年龄限制了,成年人也可以进行牙齿矫正的。
成年人矫正牙齿和未成年完全不一样,因为口腔部的牙齿和肌肉早已发育完成,颅面部骨缝已变为骨性融合,可塑性比较低低,并且成年人代谢速度变慢,生物反应性降低,增加了牙齿矫正冶疗的难度。
成年人牙齿矫正更为复杂,成年人的错颌畸形常伴随有其它口腔疾患。如龋病,牙周病、缺牙、牙齿磨耗、残冠、残根、口内不良修复物、颌下颌关节疾病等。了解更多牙齿畸形相关知识,点击在线咨询,与专家详细交谈!
成人牙齿矫正之前一定要进行口腔检查,在口腔疾病得到有效控制之后再进行牙齿正畸,成年人生长发育已经停止,牙槽骨改建比较缓慢,牙齿移动相对慢一些,所需要的冶疗时间较长。但是成年人牙齿矫正也有其自身优势,成年人进行牙齿矫正更能很好的配合医生,按照医生的叮嘱进行牙齿矫正的护理,因此,成人矫正的效果是非常好的。
中韩·唯美口腔牙齿矫正技术推荐
中韩·唯美口腔率先引进的韩式四维隐形正畸技术继承了传统的牙颌畸形矫治的理念,是现代口腔医学、计算机辅助四维诊断、个性化设计及数字化成型技术的完美结合,是正畸领域的新突破。韩式四维隐形正畸由知名专家坐诊,实现全程无痛无创快速疗法,专门治疗各种牙齿排列不整齐,咬合错位等牙齿形态问题,还你一口整齐、坚固耐用的健康原牙。
韩式四维隐形正畸技术是完全个性化的设计理念,可根据正畸者的情况佩带不同的矫治器,完全不影响正畸者的生活。具有隐形高效,稳定美观的特点,并且大大地缩短了疗程,使治疗时间缩短近三分之一,复诊时间缩短二分之一,为正畸者大大节省了时间,透明韩式四维隐形正畸矫正矫治器厚度不到1mm,透明、光滑、舒适,无异物感和粘膜刺激,是目前更受欢迎和信赖的美齿项目。推荐阅读:韩式隐形正畸
中韩·唯美口腔牙齿矫正专家推荐

李玉如,口腔正畸科。副教授,副主任医师,硕士生导师,口腔医学正畸专业硕士。1991年毕业于中山医科大学口腔系,一直从事口腔正畸的临床、教学和科研工作,临床经验丰富,并注重知识的学习更新,2004年硕士学位毕业。擅长正畸科各类牙颌畸形及疑难病例的矫治,对青少年反牙合、开牙合、功能性矫治、阻生牙的导萌牵引及成年人牙颌畸形、牙周病的正畸治疗有良好的疗效。点击在线咨询,了解牙齿矫正的优惠信息!在线预约可享更多优惠!
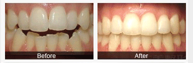
中韩·唯美口腔牙齿矫正前后对比图

温馨提示:如果您对口腔方面还有其他疑问,可直接向我们中韩·唯美口腔医院的在线专家免费咨询!专家届时会针对您的问题,给出专门个人的诊疗方案。欢迎点击在线咨询。
上一篇:郑州牙齿矫正哪家最好
下一篇:郑州口腔医院矫正牙齿怎么样
唯美口腔连锁·汇聚实力专家
唯美口腔连锁·品牌资讯