成人牙齿矫正价格是多少?畸形的牙齿所产生的危害,不只是让我们受困于每日的口腔清洁、食物的咀嚼,长时间若是得不到矫正,则会让口腔内的细菌慢慢的滋生来危害我们的健康。因此,牙齿畸形还是要及时的通过矫正来解决的,那么成人牙齿矫正价格是多少呢?
中韩·唯美口腔专家介绍说,成人牙齿矫正的价格其实并没有一个明确的数值,根据每个人的具体情况的不同,而有着变化,成人牙齿矫正的价格问题还受到牙齿矫正的方法选择的医院和医生的资质等等因素的影响,所以牙齿矫正的价格也有差别。
一、牙齿矫正的方式有很多种。效果也各有特点,比如金属托槽牙齿矫正、隐形托槽矫正,所以价格上也有很大的差距,大家可以根据需求进行选择。哪种矫正方法适合你呢?点击在线咨询直接与专家对话了解详情!
二、矫正的费用“因地而异”。在不同地区会有城乡差异;在不同级别的医院会有收费标准的级别差异;在不同性质的医院中,各医院的收费标准会略有浮动等等。患者应在矫正牙齿治疗开始前向医生了解总体费用的大致情况,有备而治。
三、牙齿畸形的程度。有的牙齿拥挤的朋友,可能需要拔牙来腾出空间进行矫正。而有口腔疾病的朋友需要治愈后再进行矫正,像成人牙齿矫正则需要大概一年半到两年左右的时间,牙齿矫正治疗期间需要复诊,这些种种的情况对做牙齿矫正价格都有影响。推荐阅读:韩式隐形矫正
牙齿矫正哪种方法好
中韩·唯美口腔率先引进的韩式隐形正畸技术继承了传统的牙颌畸形矫治的理念,是现代口腔医学、计算机辅助四维诊断、个性化设计及数字化成型技术的完美结合,是正畸领域的新突破。韩式隐形正畸由中韩齿科专家联合坐诊,实现全程无痛无创快速疗法,专门治疗各种牙齿排列不整齐,咬合错位等牙齿形态问题,还你一口整齐、坚固耐用的健康原牙。该技术是完全个性化的设计理念,可根据正畸者的情况佩带不同的矫治器,完全不影响正畸者的生活。具有隐形高效,稳定美观的特点,并且大大地缩短了疗程,使治疗时间缩短近三分之一,复诊时间缩短二分之一,为正畸者大大节省了时间,透明隐形正畸矫正矫治器厚度不到1mm,透明、光滑、舒适,无异物感和粘膜刺激,是目前更受欢迎和信赖的美齿项目。点击在线咨询,了解牙齿矫正的优惠活动!在线预约可享更多优惠!
中韩·唯美口腔牙齿矫正专家推荐

李玉如,口腔正畸科。副教授,副主任医师,硕士生导师,口腔医学正畸专业硕士。1991年毕业于中山医科大学口腔系,一直从事口腔正畸的临床、教学和科研工作,临床经验丰富,并注重知识的学习更新,2004年硕士学位毕业。擅长正畸科各类牙颌畸形及疑难病例的矫治,对青少年反牙合、开牙合、功能性矫治、阻生牙的导萌牵引及成年人牙颌畸形、牙周病的正畸治疗有良好的疗效。
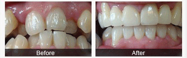
中韩·唯美口腔牙齿矫正前后对比图

如果您还有其他疑问请点击中韩·唯美口腔在线咨询专家为您做详细的解答。一分钟预约挂号,医务人员将会与您一对一进行沟通。我们有中国更专业的网上挂号平台,为您提供更便捷的预约就诊服务,为您推荐全国资质更深、技术更好的口腔专家,让你从此刻开始摆脱牙齿问题的困扰。
上一篇:成人牙齿矫正费用多少
下一篇:成人牙齿矫正方法选哪种
唯美口腔连锁·汇聚实力专家
唯美口腔连锁·品牌资讯