种植牙常见优点有哪些?年龄的增加,牙齿脱落现象也越来越频繁,很多中老年人都出现牙齿缺失的情况,甚至是全口缺牙。种植牙的问世,对老年人来说是个福音,其良好的效果深受大家的好评,那么种植牙常见的优点有哪些?
种植牙是一项小手术,通过在牙床植入牙根,并加以牙冠,种植牙手术过程很简单,可是效果却很好,一般有以下几点:
优点一:一般的假牙制作是通过在相邻两颗牙上安装牙套后固定的,其必然有损于邻牙,如封闭不好,安装在牙套中的邻牙会蛀烂,而种植牙则是通过独立的金属牙根作为牙种植基础的,不与邻牙发生关系;
优点二:我们咀嚼食物时,其缺牙的牙合力是通过相邻牙齿来完成的,邻牙长期处于疲劳状态易引起牙松动,而种植牙则是通过种植的金属牙根分散于颌骨内,正常的咀嚼功能不会受到影响;了解更多种植牙,点击在线咨询,直接与专家相互交流,详细咨询!
优点三:人工种植牙极其美观大方,几乎可以达到以假乱真的地步.目前国家卫生部已将口腔种植列为"十年发展规划百项成果推广"之列.
中韩·唯美口腔牙齿种植技术推荐
中韩·唯美口腔独家引进的“亲骨”种植技术是采用普兰梅卡口腔全景机进行3D口腔CT成像,根据自身牙体骨骼或以自身骨组织系数来定制骨粉,比起传统的人造骨粉,更加精确无误,而且生物相容性更好、更稳定牢固、愈合更迅速。由于3D口腔CT成像的直接应用,使“亲骨”种植技术大大的提高了,并象征着口腔种植领域的发展,迈出了革命性的一步。推荐阅读:亲骨超导种植技术
中韩·唯美口腔牙齿种植专家推荐

徐雅轩,国内著名CAM/CAD修复专家,精湛技术:牙齿矫正、1小时德国西诺德CAD/CAM3D齿雕全瓷修复、牙齿美容修复。毕业于南京医科大学口腔专业,长期从事口腔种植临床工作,在部队三甲医院工作多年,拥有多年深厚的口腔种植与研究经验。曾应邀参加瑞士ITI种植培训、德国西诺德3D齿雕培训,并出任多国种植集团特邀医师。其娴熟的种植技术和丰富的临床经验有机结合,注重从顾客的角度为出发点制定治疗方案,行医严谨,待人真诚,让广大缺牙顾客重新拥有完美的牙齿,深得顾客好评。点击在线咨询,了解牙齿种植的优惠信息!在线预约可享更多优惠!
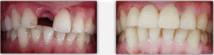
中韩·唯美口腔种植牙前后对比图

温馨提示:以上内容是关于种植牙常见优点的介绍,如果您还有其他需要咨询的地方,可以点击在线咨询,与专家详细交谈,中韩·唯美口腔会给您一个专业的分析,详细的解答,并给您一个满意的答复!
上一篇:种植牙齿的步骤是什么
下一篇:如何呵护自己的种植牙
唯美口腔连锁·汇聚实力专家
唯美口腔连锁·品牌资讯