种植牙齿的步骤是什么?对于种植牙齿来说,为了保障一种良好的牙齿缺失修复效果,我们必须对种植牙做一些系统性的了解,知己知彼才能让我们的牙齿缺失修复变得更加完美。那么种植牙的步骤是什么呢?下面请郑州知名口腔科专家来介绍一下。
种植牙齿的步骤主要有哪几步?专家介绍说,种植牙的过程主要包含三个临床步骤
1、植入种植体。次手术在局部麻醉下,在缺牙部位的牙床上作个小切口,用特制专用的高速和低速钻机(即种植机)在牙槽骨制备孔洞,将人工材料制作的种植体植入上 颌或下颌缺牙部位的牙 槽骨内。手术后7天拆线,拆线后,原来的假牙经医生调整后可继续佩戴,等待种植牙的过程中更重要的"二期手术"。目前主流的种植体有很多种,患 者可以根据自身的身体条 件在医师的正确指导下选择适合自己的种植体。
2、安装基台。第二次手术在4-6个月种植体与颌骨形成骨结合后进行(上颌需6个月以上、下颌需4个月以上),手术只是在局麻下用特制的手术器械在植入种植体相对应的牙 龈上旋切一个小口,暴露种植体上端后,安装牙龈基桩,即将植入颌骨的种植体穿出牙龈。
3、安装人工牙冠。二期手术后7~10天即可修复取模,制作种植桥架及假牙。推荐阅读:亲骨超导种植技术
牙齿种植技术推荐——亲骨超导种植技术
中韩·唯美口腔独家引进的亲骨超导即刻种植是采用普兰梅卡口腔全景机进行3D口腔CT成像,根据自身牙体骨骼或以自身骨组织系数来定制骨粉,比起传统的人造骨粉,更加精确无误,而且生物相容性更好、更稳定牢固、愈合更迅速。由于3D口腔CT成像的直接应用,使亲骨种植技术大大的提高了,并象征着口腔种植领域的发展,迈出了革命性的一步。点击在线咨询,了解种植牙的优惠信息!在线预约可享更多优惠!
中韩·唯美口腔牙齿种植专家推荐

郑淳奎,口腔颌面外科硕士、口腔修复医学博士。精堪技术:种植牙修复。毕业于韩国首尔大学牙医学院,1995年赴瑞典皇家学院口腔医学院、美国华盛顿大学口腔医学院求学,先后获得了口腔颌面外科硕士、牙周病学硕士、口腔修复医学博士等学位。回国后将韩国整形医学与德国CEREC 3D数字齿雕系统结合,革新了口腔美容设计的传统治疗方法,获韩国齿周科学会新人学术奖及保健福利部长官奖。2000年又赴德国深造普士即刻种植牙技术,并成为位为德国人实施种植手术的亚洲专家。对各种种植修复技术有很深的造诣,先后在日本齿周科学会、日本齿科学会发表论文,获大韩齿周科学会新人学术奖,获韩国保健福利部长官奖,在韩国牙科界享有很高的美誉。
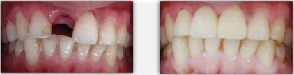
中韩·唯美口腔牙齿种植前后对比图

如果您觉得我们的文章没有解释的很清楚,或者还有其他疑问,您可以直接点击我们的在线咨询医生,中韩·唯美口腔专业咨询医生会给您耐心的,详细的解答,并给您一个满意的答复!
上一篇:种植牙优点有哪些
下一篇:种植牙常见优点有哪些
唯美口腔连锁·汇聚实力专家
唯美口腔连锁·品牌资讯