患者:婷婷 年龄:25岁
牙症:牙列稀疏、牙齿缝隙大
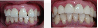
检查:上下前牙列稀疏,牙黄,X片显示根尖无异常。
美牙方案:结合肤色、脸型,通过VITA比色仪以及数码定位系统对牙齿进行检测,选定合适的美牙方案。
美牙后:牙齿排列整齐,牙色洁白自然,上下牙咬合正常。
美牙技术:3D美容冠
美牙时间:1小时

婷婷是今年刚刚步入社会,走进职场的大学生。谈起自己的工作经历,婷婷觉得心有余悸,由于婷婷长了一口稀疏的牙齿,说话常漏风,让人总是听不清,因而不管成绩优越,身材不错也被用人单位拒绝。好不容易婷婷进入了一家刚不算知名的广告公司做文案,但是接下来的日子却让婷婷更不开心,原因是同事总是嘲笑她说话漏风。
有牙齿稀疏也不是一两天了,因而婷婷对于同事的嘲笑也一笑置之,然而在一次公司组织的旅游活动中,领导要求每人唱一首歌或者讲个段子,轮到婷婷的时候,一开腔大家都爆笑了,听着婷婷语音不清还走调的歌曲,大家都觉得有趣无比,甚至婷婷一直暗恋的帅哥也在其中暗笑,这让婷婷感到无比的尴尬,想矫正的心更强烈了。
经朋友的介绍,她在网上查到了郑州唯美口腔,通过跟在线咨询医生的沟通,婷婷网络预约挂了号。按照预约的时间,婷婷来到了郑州唯美口腔,由于提前在网络上预约了,婷婷就诊很方便,省去了排长队挂号的时间。
经检查发现,婷婷的牙齿其实还蛮白的,就是稀疏严重,牙缝过大,因而影响了她的咬合和发音,对此美牙专家给她推荐了3D美容冠美牙技术,1小时后婷婷的牙齿不仅整齐美观,而且紧密无间,美丽迷人,看着自己牙齿的改变,婷婷开心得滴下幸福的眼泪,从此她不用担心人家取笑她咯。
上一篇:郑州唯美牙齿缺损案例
唯美口腔连锁·汇聚实力专家
唯美口腔连锁·品牌资讯