牙齿的缺损会给我们的职场、生活带来影响吗?或许很多人还没有意识到这个问题。那么今天我们就来看一下下面的案例就会明白很多。
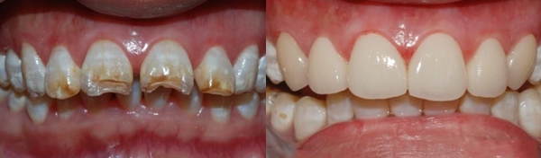
徐先生是郑州某企业的业务经理,出色的业务表现让他的事业蒸蒸日上,然而一年前的他却是一个业务平平的普通业务员,而且还因为牙齿缺损,很多客户,在听他开口介绍公司的产品的时候,对他没有太好的印象。这时候徐先生意识到形象也是销售中的一部分。

缺损的牙齿,让徐先生的事业黯淡,为此他大为苦恼。一次偶然的机会,他在上网查找牙齿缺损的治疗方法的时候,无意中发现郑州唯美口腔医院的网站,同在线专家进行交流后,决定来医院亲自看看那。于是来到医院进行详细了解,经过医院现场的观摩,以及医生细致的解答,徐先生当即就决定采用仿生美容冠来解决牙齿缺损现象。
美容冠是牙齿美容的一种新型技术,更早起源于欧美、日韩等国家,美容冠具有修复牙齿不拔牙、不伤牙等优点,美容冠技术自从被引进中国,被广大消费者热捧,各大城市都被广泛应用。
郑州唯美口腔医院的专家提醒大家,牙齿不但是我们消化体统的道防卫,也是我们面部美观的关键。牙齿的缺损、牙列稀疏、牙齿的不整齐、四环素牙等一些列牙齿问题都不容小视,治疗这些牙齿问题需要选择正规的口腔医院。选择医院之前可以同网络专家进行沟通,为您做针对性的指导。
上一篇:郑州唯美镶牙补牙案例
下一篇:郑州唯美牙齿稀疏案例
唯美口腔连锁·汇聚实力专家
唯美口腔连锁·品牌资讯