企业老板: 男 45岁
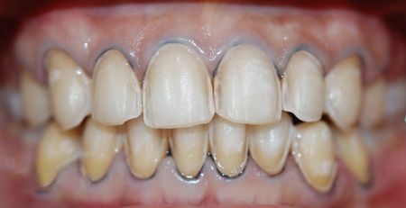
唯美诊断: 重度四环素牙
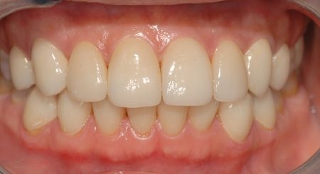
推荐方案: 美容冠
选择项目: 美容冠
治疗时间:2012年9月12日


感言:牙齿前十年还是黄色,随着现在生意越做越大,时间越来越长,黄色的牙齿变成了灰色,每次和客户谈生意都很影响形象。因此找到了郑州唯美口腔医院,医生鉴定我是重度四环素牙,建议我使用美容冠全口修复。据说可以美白的同时,把我牙齿的外形修饰的更好看。在经过7天治疗会,效果真的如医生所说,就好像我牙齿天生这么好一样,舒适度也很高。
专家点评:对于四环素牙,特别是重度四环素牙,是不可能通过常规的牙齿美白技术来进行漂泊的,必须通过物理覆盖性较强的美容冠。大家在美白的同时还有牙齿塑形的效果。
上一篇:郑州唯美彩光美白案例
下一篇:黄牙彩光美白案例
唯美口腔连锁·汇聚实力专家
唯美口腔连锁·品牌资讯