姓名:黄梦雅
年龄:25
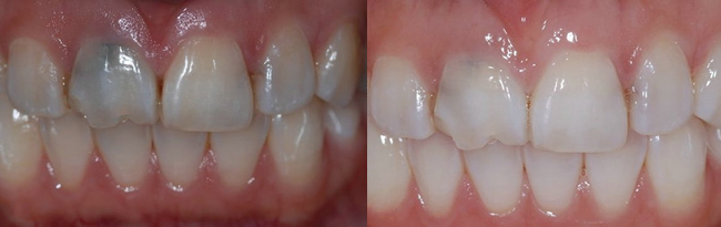
美丽缺陷:牙齿发黑
美丽项目:彩光美白

术前:
黄小姐身材高挑、面容姣好,但一口黑牙却让她每次照相都不敢露出牙齿,商务谈判也很不自信,为此丢了好几个大客户。虽然黄小姐洗了牙,可牙齿仍发黑,咨询了郑州唯美口腔医院口腔美容专家武海波主任后才知道自己的牙齿是内源性变黄,洗牙根本无法达到美白效果!这让黄小姐着实担心,给工作和生活带来了很大的困扰。那么,牙齿发黄后该如何美白呢?
唯美口腔医院口腔美容专家武海波主任建议黄小姐采用彩光美白技术,这项治疗具有无痛、安全、迅速、高效的优点,在欧美等发达国家早已风行。彩光美白技术不仅可以去除黄小姐牙齿表面的色素沉积,同时可进入牙齿深层达到脱色的效果。根据临床实验表明,使用彩光美白技术,其效果可提高5-14个VITA色阶,不仅优于同类产品,更超过家用牙套美白效果30%以上。
彩光美白技术采用低温冷光,完全避免了操作过程中对牙神经的不适。因此被公认是目前更有效及更安全的牙齿脱色技术。操作过程仅需30分钟左右,无刺激、无副作用,美白效果可维持5年以上。
术后:
黄小姐在唯美口腔医院口腔美容专家武海波主任的帮助下,牙齿变得整齐洁白,她不再为自己满口的黑牙而整天担心了。
专家点评:
据介绍,郑州唯美口腔医院口腔美容专家武海波主任牙齿发黑着色分为内源性和外源性两种,外源性着色是由于茶垢,烟渍以及饮水中的矿物质吸附在牙齿上导致变黄或变黑。内源性着色是在牙齿发育过程中形成的,如四环素沉积在牙本质内,就会使得牙齿变成黄色,棕色或暗灰色,称为四环素牙;如饮用水中含氟过多,也可能导致氟斑牙,牙面呈白粉笔色,棕褐色斑块。
上一篇:郑州唯美瓷贴面案例
下一篇:郑州唯美美容冠四环素牙案例
唯美口腔连锁·汇聚实力专家
唯美口腔连锁·品牌资讯