郑州前牙种植

郑州门牙可以做种植牙修复吗

来源:郑州唯美口腔
赞: | 好评: | 阅读:
  郑州门牙可以做种植牙修复吗?门牙在口腔中占有重要的位置。如果门牙出现缺失的情况,会导致说话漏风,而且还会影响自身的美观。因此,门牙出现缺失的情况要及时进行修复。种植牙是目前牙齿缺失更理想的修复方法,那么,门牙可以做种植牙修复吗?为此,通过以下我们来进行详细的了解。
 
  郑州门牙可以做种植牙修复吗?牙种植技术其实就是种植牙技术,种植牙是通过在缺牙区的牙槽骨内植入人工牙根,然后再在人工牙根上面安装假牙的一种高端镶牙方法。种植牙被誉为人类“第三副牙齿”,不论功能上、美观上、 感觉上都是真牙无异(郑州种植牙价格)。种植牙的“牙根”同样“长”在牙槽骨内,承受与真牙一样的压力,形态、色泽、通透度与真牙无异。
 
 
门牙可以做种植牙修复吗
  
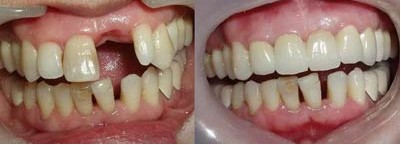
  郑州门牙可以做种植牙修复吗?【门牙做种植牙案例】
 
  张先生事业有成,家庭幸福,可谓是一帆风顺,可是让 他苦恼的是他的牙齿,虽然他正值中年,可是牙齿已经不争气了,门牙掉了,于是张先生就不甘心,在朋友的介绍下他来到了郑州唯美口腔医院,医生检查发现她的口腔状况良好, 于是就给她推荐了种植牙修复。后来让张先生没想到的是做完种植牙后他居然觉得自己更加的年轻了。张先生表示:他只所以选择郑州唯美口腔医院是因为这里的医疗技术精湛、医疗质量可靠、还有着良好的医疗服务。
 
  【郑州唯美口腔种植牙的优点你了解吗】
 
  作为牙槽外科手术的种植牙技术,在人们心中它拥有很多吸 引人的优点,具体来说主要有以下几点。
 
  1、功能恢复快:能很快地恢复牙齿功能,咀嚼功能大大优于 其他传统假牙。
 
  2、稳固牢靠:全固定式种植体固位好,比传统假牙戴得稳固 、牢靠。因此,咀嚼效率比传统假牙提高很多。
 
  3、舒适美观:种植牙可根据就诊者的脸型、其他牙齿的形状 与颜色制作牙冠,达到一种整体协调和美观的更佳效果。种植牙不使用活动假牙必需的基托与卡环,感觉舒适、方便, 而且有利于保持口腔的清洁卫生。推荐阅读:郑州种牙多少钱一颗
 
  门牙可以做种植牙修复吗?通过以上的介绍,想必大家也有了一定的了解。郑州唯美口腔的专家提醒:如果您还想了解更多口腔的相关信息,您可以咨询在线专家,百度十次,不如咨询一次,康贝佳口腔专家将给出专业的意见并提供更优质的咨询服务。
温馨提示:口腔健康问题,不要查看不专业的网站,不要问不专业的医生。

上一篇:郑州门牙掉了怎么修复

下一篇:郑州人工种植牙价格多少

唯美口腔连锁·汇聚实力专家
唯美口腔连锁·品牌资讯
  • 一城七院
  • 高端设备
  • 荣誉资质
  • 机构环境