郑州前牙种植

郑州门牙掉了怎么修复

来源:郑州唯美口腔
赞: | 好评: | 阅读:
  郑州门牙掉了怎么修复?牙齿对我们来说非常重要,不仅对口腔健康有一定的影响,而且还影响自身的形象。尤其是门牙,门牙就是我们的门面。但在日常中,总会出现很多的意外,导致我们的门牙出现脱落的情况。那么,门牙掉了怎么修复?为此,通过以下我们来进行详细的了解。
 
门牙掉了怎么修复
 
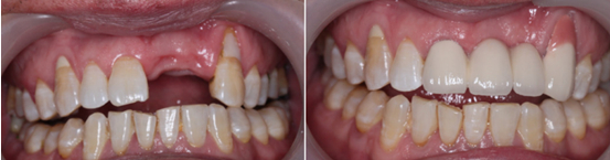
  郑州门牙掉了怎么修复?门牙修复就选种植牙
 
  郑州唯美口腔医院专家介绍,门牙掉了可采取种植牙进行修复(前牙种植牙价格)。种植牙是义齿修复的一种,种植牙和真牙一样包括牙根和牙冠两个部分,因此被美其名曰“根深蒂固”的种植牙。种植牙包括纯钛金属制成的种植牙根和烤瓷牙冠两个部分,纯钛金属是一种生物相容性极好的金属,植入人体牙槽骨之后经过一段时间(3-6个月),种植牙根就与牙槽骨组织相融为一体,然后再在种植牙根上安装上烤瓷牙冠,从形态上和功能上达到恢复牙齿缺失的目的。
 
  种植牙和真牙一样,分为牙根和牙冠两大部分。种植牙牙根由高强度、高安全性的纯钛金属制成,将种植牙牙根植入缺牙部位的颌骨中,经过一段时间(3-6个月),种植牙牙根就会与周围的骨质牢牢“长”在一起,形成良好、稳定的骨结合,起到类似真牙牙根的作用。这样,再大的咀嚼力量也能够承受,做到稳固不晃。无论是坚硬食物,还是黏性食物,患者即可尽情地吃,和真牙完全一样。
 
  郑州门牙掉了怎么修复?门牙脱落的危害
 
  门牙掉了不仅影响个人的形象,也也会危害口腔的健康,所以,单颗牙齿缺失后应及时修复。如果长期没有修复,对颌牙齿会因为无咬牙合接触而伸长;两侧牙齿会移位向缺失处倾斜,引起食物嵌塞,不易清洁,引起蛀牙及牙周病。所以门牙缺失后要及时的修复。
 
  郑州唯美口腔医院专家介绍说,,门牙出现脱落的情况,一定要高度重视起来,及早选择专业的口腔医院进行修复,以免导致严重的后果发生。郑州唯美口腔是一家专业的种植牙医院,种植专家理想会全面的检查患者的牙齿情况,然后根据其检查的结果,制定相应的治疗方案,确保牙齿修复的效果。推荐阅读:门牙做种植牙需要多少钱
 
  门牙掉了怎么修复?通过以上的介绍,想必大家也有了一定的了解。郑州口腔医院郑州唯美口腔开通了网络咨询服务,如果您还有什么疑问或者想对郑州唯美口腔做个详细的了解,欢迎点击网站在线咨询,我们为您提供更专业的技术,更周到的服务。
温馨提示:口腔健康问题,不要查看不专业的网站,不要问不专业的医生。

上一篇:郑州人工种植牙的价格贵吗

下一篇:郑州门牙可以做种植牙修复吗

唯美口腔连锁·汇聚实力专家
唯美口腔连锁·品牌资讯
  • 一城七院
  • 高端设备
  • 荣誉资质
  • 机构环境