生活总不是一帆风顺的,意外事情频频发生,对我们的牙齿健康也是一种威胁,很多人会出现牙齿缺损的现象,需要及时去口腔医院修复治疗,3D 瓷睿刻就是一种很好的修复缺损牙齿的方法,那么3D 瓷睿刻的手术过程有哪些?
3D 瓷睿刻的制作过程就是将做好的3D 瓷睿刻套紧固粘着于磨改后的真牙上,下面是常见的手术步骤:
步、确定牙套:首先需要确定的您要做的是哪几颗牙齿的牙套,3D 瓷睿刻是把原有的牙齿磨小后,戴上 3D 瓷睿刻套的。
第二步、麻醉处理:确定好后您要做的牙齿后,就是进行麻醉处理,在牙龈上打麻醉针,这个是有些轻微疼痛,疼痛只是短时间的,为下一步治疗做准备。
第三步、牙齿打磨:确定麻醉处理后的牙齿无疼痛感后,开始对您的牙齿进行打磨处理,除接触牙龈的部分,牙齿的一圈都要均匀地磨小,因为要把牙套戴上去的。
第四步、带临时塑料牙套:牙齿打磨完成后,牙医会给您佩戴一个临时的牙套一般是塑料材质的,在3D 瓷睿刻没有加工完成的这几天时间内,您就需要佩戴这个塑料牙套。了解更多3D瓷睿刻,点击在线咨询,直接与专家相互交流,详细咨询!
第五步、牙齿比色:牙医会拿出很多种不同颜色的牙,让您进行颜色比对确定,比如 A1A2 等多种颜色,看哪种和您牙齿的颜色更为接近,所加工的 3D 瓷睿刻牙套就用您选定的这种颜色了。
第六步、更换3D 瓷睿刻牙套:经过几天的等待,专属于您的 3D 瓷睿刻加工完成后,我们的牙医会通知您,为卸下临时塑料牙套,给您更换上大方美观的 3D 瓷睿刻套。
中韩·唯美口腔牙齿美容技术推荐
德国3D瓷睿刻CEREC)全称是德国瓷睿刻全瓷牙齿美容系统,实现了齿科先进美学。瓷睿刻(CEREC)是一项运用在牙科治疗上的先进技术,由计算机支持设计制作,一次性完成全瓷修复体、全冠和贴面制作过程,去除了印模、制作临时假牙等繁琐步骤,30分钟重塑3D美齿,被誉为口腔设备中的“动车组”。推荐阅读:3D瓷睿刻
中韩·唯美口腔牙齿美容专家推荐

莫三心教授,主任医师,硕士研究生导师。唯美口腔特邀专家,河南省口腔医学领域知名专家、郑州大学知名教授。精湛技术:牙齿种植、口腔修复、牙齿美容修复曾多次获得卫生部及省市各级表彰。主编多部并且参与编写多部国家医学教材,发表学术论文20余篇。擅于口腔修复,并涵盖口腔专业各个领域,可谓是大师级的口腔专家,在国内口腔界享有很高的声望。点击在线咨询,了解牙齿美容的优惠信息!在线预约可享更多优惠!
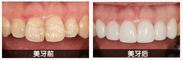
中韩·唯美口腔牙齿美容前后对比图

温馨提示:以上内容是关于3D瓷睿刻的一些介绍,希望对大家有所帮助,点击在线咨询,随时可以与专家相互交流,中韩·唯美口腔是一家正规、高档的口腔医院具有先进一流的诊疗设备,专业知名的知名医生,实施无痛治疗,满足患者要求,以服务顾客为。
上一篇:数码烤瓷牙价格是多少
下一篇:郑州唯美口腔烤瓷牙
唯美口腔连锁·汇聚实力专家
唯美口腔连锁·品牌资讯