数码烤瓷牙价格是多少?不管从爱美的角度去考虑,还是从保障口腔健康的角度去思索,对于我们出现的牙齿缺损、变色、畸形等状况都需要尽早的进行修复,才能让我们远离更大的损失。数码烤瓷牙就是修复牙齿问题常用的方法,那么数码烤瓷牙价格是多少?
中韩·唯美口腔专家介绍:烤瓷牙就是将瓷粉烧结于金属名义作成牙冠。烤瓷牙的特征是,能较佳地恢复牙体外形和功能,抗折力强,耐磨性恶,色调、外观和量地逼真,表点润滑,不变形、变色,存在定然的耐侵蚀性。材质跟装烤瓷牙时的农艺不共,构成了烤瓷牙价钱的差别。
数码烤瓷牙根据牙齿资料的不同,价格相差很大。同样的材质,制作工艺不一样,做出来的烤瓷牙的形态、颜色、品质也不尽相同。一般来说,大型的烤瓷制作中心,工艺相对比较成熟。
数码烤瓷牙价格是多少与烤瓷牙种类关系密切。目前烤瓷牙的种类很多,有合金联合烤瓷、全瓷、水晶瓷等,不同种类烤瓷牙的价格不一样。哪种烤瓷牙的材料适合你呢?点击在线咨询,直接与专家对话了解详情!
数码烤瓷牙价格是多少和患者选择烤瓷牙材质有关,一个好的烤瓷牙,有赖于临床工程师规范的操作,正确的设计,专业的修复理论和技师的密切配合等,否则,将难以达到理想的修复效果,从侧面上讲临床的专业技术也是影响一颗烤瓷牙多少钱的一个因素。推荐阅读:用心呵护口腔健康
数码烤瓷牙根据材质来说,有不同的类型。就普通金属烤瓷牙一般有镍铬合金烤瓷牙;半贵金属烤瓷牙的代表是钴铬金属烤瓷牙和钛合金烤瓷牙;贵金属性烤瓷牙有黄金属烤瓷牙和金沉积技术烤瓷牙,银钯合金烤瓷牙、金钯合金烤瓷牙等等;另外还有全瓷牙。这些烤瓷牙价格都是不同的。点击在线咨询,了解烤瓷牙修复的优惠活动!在线预约可享更多优惠!
中韩·唯美口腔牙齿美容专家推荐

艾西川,副主任医师,精湛技术:颌面外科、牙齿美容、1小时德国西诺德CAD/CAM3D齿雕全瓷修复。毕业于中国口腔著名学府——西安第四军医大学,原南京军区口外知名专家,郑州市口腔医院院长。从事口腔全科临床工作三十余年,对口腔内外科有丰富的临床经验,拥有万例成功案例。曾获市级科研成果奖两项,省级三项,多部专著被列为医大教材,在国内外知名刊物上发表专业论文20余篇,多次应邀参加国内外口腔大型研讨会,于口腔治疗方面有独到的治疗方法,深受客人好评。
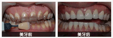
中韩·唯美口腔牙齿美容前后对比图

如果您还有其他疑问请点击中韩·唯美口腔在线咨询专家为您做详细的解答。一分钟预约挂号,医务人员将会与您一对一进行沟通。我们有中国更专业的网上挂号平台,为您提供更便捷的预约就诊服务,为您推荐全国资质更深、技术更好的口腔专家,让你从此刻开始摆脱牙齿问题的困扰。
上一篇:一颗好牙的价值,在于目光的“倾倒
下一篇:3D 瓷睿刻的手术过程有哪些
唯美口腔连锁·汇聚实力专家
唯美口腔连锁·品牌资讯