牙齿为什么会发黄?整齐洁白的牙齿是健康生活的基础,影响着我们正常的饮食习惯,而且还关系着我们个人形象的完美,可是现实往往很残酷,很多人的牙齿普遍出现发黄的现象,造成很恶劣的影响,那么牙齿为什么会发黄?
很多人想了解牙齿发黄的原因,其中一些原因如下所示:
首先,口腔卫生习惯。
平时有些人不注意口腔卫生,没有坚持早晚刷牙、饭后漱口,更没有定期洗牙的习惯。这就导致牙齿的表面堆积一层食物残渣、软垢、牙石、烟渍、茶渍等。这些不良的口腔卫生习惯都会导致牙齿发黄,这些属于外源性牙齿发黄。
其次,水质的影响。
有些地区,特别是有些山区,由于水中含氟量高,过多的饮用氟牙齿会发黄,而且不是1-2个牙齿,是满口大黄牙。虽然氟元素有防蛀的作用,但是如果过量则会引起氟斑牙。另外,服用四环素类药物过量,也是会引起牙齿着色的。这些就属于是内源性牙齿发黄。了解更多牙齿发黄,点击在线咨询,直接与专家相互交流,详细咨询!
更后,牙齿的发育。
牙齿在发育过程中由于营养不好或生过病,会使牙齿的钙化受到影响,牙齿会黄而松脆。如果牙釉质发育不完全,也是后导致黄牙的产生。
中韩·唯美口腔修复专家介绍说,对于牙齿发黄在一定程度上是可以预防的。更基本的就是养成良好的口腔卫生习惯,坚持早晚刷牙和饭后漱口。定期到医院做牙齿洁治也是有一定效果的,如果是严重的牙齿着色,也可以做光化治疗或者冷光美白。
中韩·唯美口腔牙齿美白技术推荐
美国360°彩光美白剂是基于冷光美白研发出的更新技术产品,美白过程中无刺激、无副作用,安全呵护牙齿结构和珐琅质,经实验对比,产品优于目前市场上任何冷光牙齿美白剂,在美国,已有超过100万以上的人采用了此种美白剂进行牙齿美白,因此被公认是目前更有效及更安全的牙齿脱色美白剂。推荐阅读:360°彩光美白
中韩·唯美口腔牙齿美白专家推荐

程玲,口腔执业医师,精湛技术:牙齿美容、牙齿矫正、1小时德国西诺德CAD/CAM3D齿雕全瓷修复。毕业于河南医科大学,先后在华西口腔医学院及三级甲等医院口腔中心工作,积累了丰富的临床经验。在固定修复、美齿美白方面技艺精湛有着突出优势,曾参与中韩美容整形峰会,并于核心期刊发表论文多篇。该医师技术娴熟,操作规范轻柔,行医严谨,待人真诚,已成功完成近千例的牙齿美容修复,深得患者好评。点击在线咨询,了解牙齿美白的优惠信息!在线预约可享更多优惠!
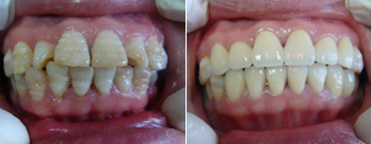
中韩·唯美口腔牙齿美白前后对比图

温馨提示:做牙齿美白手术,一定要到正规、专业的口腔医疗机构,这样才更有保障。如果您有更多未解决的疑问,可点击中韩·唯美口腔的在线咨询,给您详细的解答。
上一篇:冷光美白会造成牙齿伤害吗
下一篇:牙齿美白什么方法有效
唯美口腔连锁·汇聚实力专家
唯美口腔连锁·品牌资讯