冷光美白会造成牙齿伤害吗?现实生活中,牙齿发黄的情况随处可见,给人们的形象造成很大影响,整齐美观的牙齿令很多人羡慕嫉妒,因此为了牙齿洁白美丽,很多人选择做冷光美白,那么,冷光美白会造成牙齿伤害吗?
冷光美白是采用先进技术将高强度蓝光经特殊处理,可以有效去除附着色素,美白牙齿,冷光美白的过程如下:
一、患者戴上护目镜和开口器后,医生在患者牙龈与牙齿交界处涂上牙龈保护剂,用光固化灯照射几秒钟使之固化;
二、将美白凝胶小心地涂抹到美牙者的上下各10颗牙齿表面,接着开始照射冷光;
三、8-10分钟后,将失效的美白凝胶吸掉,涂上新的美白凝胶,进入第二个8-10分钟的照射,反复循环照射3次;了解更多冷光美白,点击在线咨询,直接与专家相互交流,详细咨询!
四、更后用水冲洗牙齿表面及缝隙,将牙龈保护剂取下。
中韩·唯美口腔牙齿美白技术推荐
360°彩光美白技术是一项正流行于欧美的更新兴的牙齿美白技术,它将高强度彩光定点照射,它不仅可以去除牙齿表面的色素沉积,及深层所附着的色素,美白效果持久有效,仅需短短的30分钟,即可让您拥有一口润白亮泽的牙齿。具有持久、自然、快速、专业、安全等五大优势。推荐阅读:360°彩光美白
中韩·唯美口腔牙齿美白专家推荐

程玲,口腔执业医师,精湛技术:牙齿美容、牙齿矫正、1小时德国西诺德CAD/CAM3D齿雕全瓷修复。毕业于河南医科大学,先后在华西口腔医学院及三级甲等医院口腔中心工作,积累了丰富的临床经验。在固定修复、美齿美白方面技艺精湛有着突出优势,曾参与中韩美容整形峰会,并于核心期刊发表论文多篇。该医师技术娴熟,操作规范轻柔,行医严谨,待人真诚,已成功完成近千例的牙齿美容修复,深得患者好评。点击在线咨询,了解牙齿美白的优惠信息!在线预约可享更多优惠!
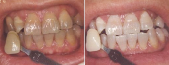
中韩·唯美口腔牙齿美白前后对比图

温馨提示:口腔专家指出,冷光美白的药物都是亲水性的,对牙齿是没有伤害的。但是一定要到正规专业的口腔医院做美白,我们中韩·唯美口腔医院是一家专业的口腔医疗机构,医院的医疗设备先进,医疗团队优秀,医生的临床经验高,医院的服务质量好,是患者的更佳选择。
唯美口腔连锁·汇聚实力专家
唯美口腔连锁·品牌资讯