彩光美白不适合治疗哪些人群?彩光美白对牙齿变色的美白效果显著,深受广大爱美人士的亲睐,因而得到广泛的应用,也有一些患者使用后却没有达到应有的效果,很多人为此很烦恼,这是怎么回事?那么彩光美白不适合治疗哪些人群?
彩光美白是治疗牙齿变色的更新技术,一般情况下,彩光美白不适合以下情况的美白修复:
1、死髓牙漂白治疗后褪色很快,不是彩光美白的适应症;
2、美白剂对填充体和烤瓷冠没有任何作用,因此做过烤瓷牙的人也不宜做彩光美白;
3、伴有釉质发育不良的重度的四环素牙、氟斑牙、或者其他因素引起的变色牙,可能会引起患者较大的不适感,也不宜做彩光美白;了解更多牙齿美白,点击在线咨询,直接与专家相互交流,详细咨询!
4、年龄在16岁以下人士、孕妇与严重的牙周病患者将不适合彩光美白。
中韩·唯美口腔牙齿美白技术推荐
美国360°彩光美白剂是更新技术产品,美白过程中无刺激、无副作用,安全呵护牙齿结构和珐琅质,经实验对比,产品优于目前市场上任何冷光牙齿美白剂,在美国,已有超过100万以上的人采用了此种美白剂进行牙齿美白,因此被公认是目前更有效及更安全的牙齿脱色美白剂。推荐阅读:360°彩光美白
中韩·唯美口腔牙齿美白专家推荐

程玲,口腔执业医师,精湛技术:牙齿美容、牙齿矫正、1小时德国西诺德CAD/CAM3D齿雕全瓷修复。毕业于河南医科大学,先后在华西口腔医学院及三级甲等医院口腔中心工作,积累了丰富的临床经验。在固定修复、美齿美白方面技艺精湛有着突出优势,曾参与中韩美容整形峰会,并于核心期刊发表论文多篇。该医师技术娴熟,操作规范轻柔,行医严谨,待人真诚,已成功完成近千例的牙齿美容修复,深得患者好评。点击在线咨询,了解牙齿美白的优惠信息!在线预约可享更多优惠!
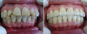
中韩·唯美口腔牙齿美白前后对比图

温馨提示:以上内容是关于彩光美白技术的介绍,希望对大家有所帮助,更多疑问,可以点击我们中韩·唯美口腔医院的在线咨询,随时向在线专家提问,唯美口腔专家会给您做详细的解答!
上一篇:牙齿美白的价格是多少
下一篇:彩光美白的适应病症有哪些
唯美口腔连锁·汇聚实力专家
唯美口腔连锁·品牌资讯