美丽是人们自古以来的追求,牙齿洁白亮丽是很多爱美人士的梦想,可是并不是每个人的牙齿都是那么洁白,如今牙齿美白技术的进步,使得这些都可以实现,只需小小的美白手术,那么牙齿美白的价格是多少?
牙齿美白的价格受到多方面的因素影响,任何一个因素的改变,都会造成牙齿美白价格的波动。具体介绍如下:
,与采用美白方案有关,采用的美白方案繁简不同,这也会跟影响到牙齿美白的费用,美白牙齿的方法很多。
第二,与选择的医院有关,如整个医院的医疗设备与医疗水平等有关,一个资格都不齐全的小黑牙科诊所与正规的医院价格肯定不会相同。
第三,与选择专家有关,专家的专业水平不同其美白费用肯定也有所不同。虽然牙齿美白看似简单,但一个知名的口腔专家与一个刚刚牙科毕业的小实习生是无法相比的。了解更多牙齿美白,点击在线咨询,直接与专家相互交流!
第四,与选择的地区有关,因为其地区不同,消费水平不同,因此,地区的不同也有一定的因素。
中韩·唯美口腔牙齿美白技术推荐
美国360°彩光美白剂是更新技术产品,美白过程中无刺激、无副作用,安全呵护牙齿结构和珐琅质,经实验对比,产品优于目前市场上任何冷光牙齿美白剂,在美国,已有超过100万以上的人采用了此种美白剂进行牙齿美白,因此被公认是目前更有效及更安全的牙齿脱色美白剂。推荐阅读:360°彩光美白
中韩·唯美口腔牙齿美白专家推荐

程玲,口腔执业医师,精湛技术:牙齿美容、牙齿矫正、1小时德国西诺德CAD/CAM3D齿雕全瓷修复。毕业于河南医科大学,先后在华西口腔医学院及三级甲等医院口腔中心工作,积累了丰富的临床经验。在固定修复、美齿美白方面技艺精湛有着突出优势,曾参与中韩美容整形峰会,并于核心期刊发表论文多篇。该医师技术娴熟,操作规范轻柔,行医严谨,待人真诚,已成功完成近千例的牙齿美容修复,深得患者好评。点击在线咨询,了解牙齿美白的优惠信息!在线预约可享更多优惠!
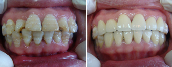
中韩·唯美口腔牙齿美白前后对比图

温馨提示:做牙齿美白手术,一定要到正规、专业的口腔医疗机构,这样才更有保障。如果您有更多未解决的疑问,可点击中韩·唯美口腔的在线咨询,由在线专家给您详细的解答。
上一篇:黄牙该怎么进行美白
下一篇:彩光美白不适合治疗哪些人群
唯美口腔连锁·汇聚实力专家
唯美口腔连锁·品牌资讯