四环素牙怎么美白好?笑如花,灿烂而炫,不至是视觉上的感官,更重要的是展示一个人的现状、心态。想要通过微笑来展示自己魅力所在的爱美人士,就必须要拥有整齐洁白的牙齿。四环素牙是一种常见的牙齿变色情况,那么四环素牙怎么美白好呢?
中韩·唯美口腔专家介绍:引起四环素牙的病因是在牙的发育矿化期服用四环素族药物,可被结合到牙组织内,使牙着色。四环素还可在母体通过胎盘引起乳牙着色。一般来说,轻中度四环素牙我们建议采用美国360°彩光美白技术改善牙齿着色,如果是重度的更好通过德国3D美牙冠技术做彻底修复,终身自然洁白有保障。方法具体介绍如下:
1、美国360°彩光美白技术
针对中轻度氟斑牙,推荐采用彩光美白,它是一项正流行于欧美的更新兴的牙齿美白技术,将高强度彩光定点照射,它不仅可以去除牙齿表面的色素沉积,及深层所附着的色素,美白效果持久有效,仅需短短的30分钟,即可让您拥有一口润白亮泽的牙齿。具有持久、自然、快速、专业、安全等五大优势,相比其他的牙齿美白技术更持久。你的氟斑牙是什么情况呢?点击在线咨询,直接与专家对话了解详情,选择适合自己的美白方法!
美白效果:使用美国360°彩光美白技术,可提高5-14个VITA色阶,一般平均提高8个VITA色阶。美白的效果是和患者原来牙齿的颜色及个人情况而定。推荐阅读:美国360°彩光美白
2、德国3D美容冠技术
针对重度氟斑牙,中韩唯美引进的3D美牙冠它突破传统烤瓷牙的各种弊端,强调牙齿的美容效果,对错位牙、色素牙、畸形牙的临床冠部分施以专业手段,更后用美牙冠加以修复。具有美牙不拔牙,无痛苦,时间短,牙齿坚固,多年后牙龈不易出现黑线等优点,从而达到终身有保障的美容效果。
美白效果:和传统的烤瓷牙技术相比较,德国3D美容冠技术不仅拥有完美的口腔抗压强度,无需担心瓷崩坏而且效果自然,有透光性。
更后强调,四环素牙特别影响一个人的美观问题,所以女性在怀孕期间不要服用四环素牙药物,而且小孩在8岁以内不要服用四环素药物。点击在线咨询了解牙齿美白的优惠活动!在线预约可享更多优惠!
中韩·唯美口腔牙齿美白专家推荐

程玲,口腔执业医师,精湛技术:牙齿美容、牙齿矫正、1小时德国西诺德CAD/CAM3D齿雕全瓷修复。毕业于河南医科大学,先后在华西口腔医学院及三级甲等医院口腔中心工作,积累了丰富的临床经验。在固定修复、美齿美白方面技艺精湛有着突出优势,曾参与中韩美容整形峰会,并于核心期刊发表论文多篇。该医师技术娴熟,操作规范轻柔,行医严谨,待人真诚,已成功完成近千例的牙齿美容修复,深得患者好评。
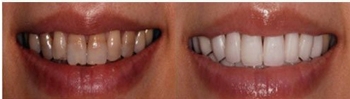
中韩·唯美口腔前后对比图

如果您觉得我们的文章没有解释的很清楚,或者还有其他疑问,您可以直接点击我们的在线咨询医生,中韩·唯美口腔的专业咨询医生会给您耐心的,详细的解答,并给您一个满意的答复!
上一篇:郑州冷光美白牙齿要多少钱
下一篇:美白牙齿的费用是多少
唯美口腔连锁·汇聚实力专家
唯美口腔连锁·品牌资讯