郑州冷光美白牙齿要多少钱?对牙齿的美白,已经成为一种对美丽的追求方式,只有洁白的牙齿才能突出微笑的魅力所在,才能让我们的微笑所展示的自信心实至名归,很多朋友选择牙齿美白方法的时候,习惯了选用冷光美白,那么郑州冷光美白牙齿要多少钱呢?
中韩·唯美口腔专家介绍: 冷光美白牙齿是一种比较传统的牙齿漂白技术,它是通过冷光照射在牙齿上为其涂上一层凝胶,凝胶可以使牙齿脱色。可以说,冷光美白是通过激光来辅助上药完成的。现在由于冷光牙齿美白技术有一些适应症和美白维护时间不长等弊端已经逐渐退出市场。取而代之的是在三代牙齿美白技术——美国360°彩光美白技术。该技术克服了冷光美白的种种缺点,突破性的延长了美白时间,并已经被公认为是目前上更为有效及更安全的牙齿美白技术。因此关心冷光美白的价格,不如咨询彩光美白的价格。
美国360°彩光美白的价格影响因素
1、选择彩光牙齿美白的设备不同
以目前的情况说来,市面上有三种彩光美白仪是比较常用的:希美DS4彩光美白仪、beyond彩光美白仪、美国360°彩光美白仪。相比较而言,每种彩光牙齿美白仪的价格都是不一样的,这主要决定于医院使用的设备如何,不过如果求美者对其中的一种效果比较中意,也可以专门去有这种彩光美白仪的医院进行治疗。
2、想要进行彩光牙齿美白的患者的口腔情况不同
彩光牙齿美白对于外源性色素粘染、内源性色素沉着和氟斑牙具有特别好的治疗效果,治疗的价格是随着个人的情况而发生改变的。有些求美者的色素沉淀或粘染的时间比较长、情况比较严重,自然治疗的疗程就会比较长,效果也会和状况比较轻的有些差别。推荐阅读:美国360°彩光美白
3、选择彩光牙齿美白的医院和医生的不同
如果做彩光美白的医院是正规专业的医院且经验丰富的医生的话,那么彩光美白牙齿价格肯定是要贵的。如果选择的是小型的口腔医院,那么彩光牙齿美白价格自然就比较低了。点击在线咨询,了解牙齿美白的优惠活动,在线预约可享更多优惠!
中韩·唯美口腔牙齿美白专家推荐

罗柏柯,口腔执业医师,精湛技术:美容修复、口内治疗、1小时德国西诺德CAD/CAM3D齿雕全瓷修复。毕业于郑州大学口腔系,曾于华西口腔医学院从事口腔修复、口腔外科以及口腔内科工作,拥有丰富的临床经验,主要擅长烤瓷和全瓷的美容修复及龋病的充填治疗,牙髓病、根尖周病的根管治疗。多次应邀参加国内外口腔学术交流,在省级、品质刊物上发表学术论文数十篇。从医以来,接诊病例数千例,为人谦和,热心细致,操作轻柔,得到客人与同事一致肯定与称赞!
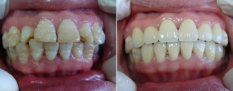
中韩·唯美口腔牙齿美白前后对比图

中韩·唯美口腔医院诊疗中心推出网络挂号预约系统,在网站上挂号成功后可减免专家挂号费,并有优惠。预约时间就诊更方便快捷,省去看专家要排队的烦恼。
唯美口腔连锁·汇聚实力专家
唯美口腔连锁·品牌资讯