自古以来“明眸皓齿”就是衡量一个美女的标准,要想拥有“一笑倾心、再笑倾城”魅力,洁白的牙齿是必需。而在这个外表决定印象的现代社会,靓白牙齿同样是决定一个人外在形象好与否的重要因素。那么如果由于先天或是后天的因素,我们牙齿很黄该怎么办?中韩唯美口腔专家指出,目前的医疗技术完全可以做到让您拥有靓白牙齿的梦想成为可能。
遗传性黄牙怎么办?黄牙美白的方法有哪些
黄牙可以分为内源性黄牙和外源性黄牙、遗传性黄牙。对于外源性黄牙,可以通过洗牙的方式来恢复牙齿的本真颜色,但是如果你的牙齿属于内源性黄牙或是遗传性黄牙的话,比如氟斑牙、四环素牙等,即使通过洗牙去掉了牙齿表面的结石,牙齿还是不会变白,这点需要广大朋友注意。其实对于这两种黄牙美白的方法是比较多的,比如瓷贴面、美容冠、冷光美白等等,这些技术都能取得比较好的牙齿美白效果,但相对来说更好的是彩光美白技术。到底哪种美白方法适合你呢?点击在线咨询与专家直接交流了解详细情况!
遗传性黄牙美白方法在这里重点向大家推荐中韩·唯美口腔的360°彩光美白技术
中韩·唯美口腔引进的美国360°彩光美白技术是一项正流行于欧美的更新兴的牙齿美白技术,它不仅可以去除牙齿表面的色素沉积,同时可进入牙齿深层达到脱色的效果。根据临床实验表明,美国360°彩光美白技术是采用先进的彩光(蓝光)照射技术,它将高强度彩光定点照射,去除牙齿表面及深层所附着的色素,使牙齿回到未经染色前的洁白。其效果可平均一次性提高8个VITA色阶。每个人的效果将视其原来牙齿的颜色及个人情况而定,更终您会拥有一口润白亮泽的牙齿。推荐阅读:美国360°彩光美白
与其它牙齿美白技术相比,360°彩光美白技术的优势
一、深层美白:不仅可以去除牙齿表面的色素沉积,同时可进入牙齿深层达到脱色的效果。一次疗程,治疗后能将牙齿表面提高5-14个VITA色阶。
二、效果持久:一般怦下效果可维持6~8年左右,如果术后能减少或避免食用有色素物质维持时间会更久。
三、无刺激、无疼痛:治疗过程中不会产生热量,所使用的亲水性美白剂有脱敏成份,所以整个过程无刺激性和无疼痛感。
四、不伤害牙齿和牙龈:彩光是一种低温冷激光,操作过程中完全避免了对牙齿神经的刺激,对牙齿的结构和牙釉质也不会有任何伤害。
五、快速美白:美国360°彩光美白疗程仅需30分钟,而激光美白等其他方式则通常需要2小时以上。更多关于彩光美白的相关知识,可点击在线咨询进行了解!
中韩·唯美牙齿美白专家推荐

程玲,口腔执业医师,精湛技术:牙齿美容、口腔内科、1小时德国西诺德CAD/CAM3D齿雕全瓷修复。毕业于河南医科大学,先后在华西口腔医学院及三级甲等医院口腔中心工作,积累了丰富的临床经验。在固定修复、美齿美白方面技艺精湛有着突出优势,曾参与中韩美容整形峰会,并于核心期刊发表论文多篇。该医师技术娴熟,操作规范轻柔,行医严谨,待人真诚,已成功完成近千例的牙齿美容修复,深得患者好评。点击在线咨询,了解牙齿美白的优惠活动,在线预约可享更多优惠!
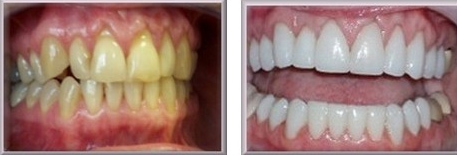
中韩·唯美口腔牙齿美白前后对比图

如果您还想要了解更多有关牙齿很黄怎么办问题,可以点击我们的在线咨询,中韩·唯美口腔的在线专家会给您更专业,更详细的解答,或是拨打我们的免费康复热线0371-60318899,与专家一对一详解。
唯美口腔连锁·汇聚实力专家
唯美口腔连锁·品牌资讯