内源性黄牙怎么办?不管是什么原因导致的牙齿变黄,在越来越注重美观的时代前地下,黄牙已经成为阻碍我们追求形象良好的重要因素,而且我们口腔的健康也不免会遭受到严重的威胁。那么内源性黄牙怎么办呢?接下来看看郑州知名口腔专家的介绍吧!
中韩·唯美口腔专家介绍:牙齿着色、发黄原因主要分为内源性和外源性。外源性,外源性着色是由于牙齿表面存在着多种细菌,它们分泌许多黏性物质,日常饮食中的茶垢、烟渍以及饮用水中的某些矿物质吸附在这些黏性物质上,逐渐使牙齿变黄或变黑。内源性,内源性着色是在牙齿发育过程中形成的,如四环素沉积在牙本质内,就会使得牙齿变成黄色、棕色或暗灰色,称为四环素牙;如果饮用水中含氟过多,也可能导致氟斑牙,牙面呈白粉笔色、棕褐色斑块,如果牙神经坏死与细菌分解产物结合也可使牙齿变黑。
内源性黄牙可以采用——美国360°彩光美白技术
中韩·唯美口腔引进的美国360°彩光美白技术是美国牙科激光科技更新成果,也是通过美国食品及药物监督管理局(FDA)认证、欧盟CE认证的彩光美白技术,是目前更有效及更安全的牙齿美白技术。仅需短短30分钟,美国360°彩光美白即可有效去除黄牙、烟渍牙、黑牙、四环素牙、氟斑牙等各种色素牙困扰。在欧美,已有超过4百万人用彩光美白技术美白牙齿,它被称为效果更好的午休美容项目,美白效果直接更持久,并迅速在日韩、中国普及。临床试验表明使用美国360°彩光美白,牙齿美白效果可提高5~15个vita色阶并且对牙齿和牙龈没有任何伤害。美国360°彩光美白技术技术适不适合你呢?点击在线咨询,直接与专家对话了解详情!
美国360°彩光美白三大优势
一、安全美白-更安全
由于美国360°彩光美白采用物理还原原理,对于口腔组织非常安全,操作过程不接触牙龈,所以完全避免了操作过程中对牙神经的损害,同时对牙齿结构不会造成任何损害。当美国360°彩光美白结束后,你会惊喜地发现牙齿竟会如此润白亮泽,美白效果至少可维持5年以上。因此美国360°彩光美白技术已经被公认为是目前上更为有效及更安全的牙齿美白技术。推荐阅读:美国360°彩光美白
二、效果明显-更可靠
美国360°彩光美白技术是一项正流行于欧美的更新兴的牙齿美白技术,它不仅可以去除牙齿表面的色素沉积,同时可进入牙齿深层达到脱色的效果。根据临床实验表明,美国360°彩光美白技术是采用先进的彩光(蓝光)照射技术,它将高强度彩光定点照射,去除牙齿表面及深层所附着的色素,使牙齿回到未经染色前的洁白。其效果可平均一次性提高8个VITA色阶。每个人的效果将视其原来牙齿的颜色及个人情况而定,更终您会拥有一口润白亮泽的牙齿。
三、即刻美白、仅需30分钟!
一次治疗可以使全口16-20颗牙齿提高5-14个VITA色阶,平均提升8个VITA色以上,并使治疗后的牙齿具有自然的光泽!美白效果可持续5年以上。
中韩·唯美口腔唯美口腔作为华中地区五星级精品齿科(牙齿美容)医院,率先引进美国360°彩光美白机,它可以去除牙齿表面的色素沉积,及深层所附着的色素,美白效果持久有效,仅需短短的30分钟,即可让您拥有一口润白亮泽的牙齿。具有持久、自然、快速、专业、安全等五大优势。更多关于美国360°彩光美白技术的相关知识,可点击在线咨询进行了解!
中韩·唯美口腔牙齿美白专家推荐

程玲,口腔执业医师,精湛技术:牙齿美容、牙齿矫正、1小时德国西诺德CAD/CAM3D齿雕全瓷修复。毕业于河南医科大学,先后在华西口腔医学院及三级甲等医院口腔中心工作,积累了丰富的临床经验。在固定修复、美齿美白方面技艺精湛有着突出优势,曾参与中韩美容整形峰会,并于核心期刊发表论文多篇。该医师技术娴熟,操作规范轻柔,行医严谨,待人真诚,已成功完成近千例的牙齿美容修复,深得患者好评。点击在线咨询,了解牙齿美白的优惠活动!在线预约可享更多优惠!
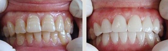
中韩·唯美口腔牙齿美白前后对比图

如果您觉得我们的文章没有解释的很清楚,或者还有其他疑问,您可以直接点击我们的在线咨询医生,中韩·唯美口腔的专业咨询医生会给您耐心的,详细的解答,并给您一个满意的答复!
上一篇:抽烟牙齿黄应该怎么办
下一篇:遗传性黄牙怎么办
唯美口腔连锁·汇聚实力专家
唯美口腔连锁·品牌资讯