烤瓷牙的危害有什么?烤瓷牙是修复牙齿更常用的方法,但是若是在做烤瓷牙的时候,没有选择好的牙科,则会给我们带来很大的麻烦。在不正规的地方做烤瓷牙一般都会产生许多的危害,下面我们来跟随郑州知名口腔科专家了解一下烤瓷牙的危害。
烤瓷牙的危害有什么?中韩·唯美口腔专家表示:在不正规的地方做烤瓷牙,一般会出现以下危害。
1.戴上烤瓷牙后,喝冷热水疼痛,如果疼痛越来越重,甚至发展到不喝水也痛、夜间痛,那就是牙髓炎了。
2.烤瓷牙松动、脱落、穿孔或破裂,原因是固位力不够。咬合力过大、有创伤合或边缘不密合而造成粘结剂溶解,应去除烤瓷牙,重新设计制作。
3.烤瓷牙穿孔或破裂等多由于厚度不足、咬合力过大、或磨改过多而引起。
4.牙龈炎戴上烤瓷牙后,牙龈组织出现炎症现象,如红、肿、易出血等。推荐阅读:3D全瓷牙
牙齿美容技术推荐——3D全瓷牙
中韩·唯美口腔拥有的3D全瓷牙采用更高端的氧化锆材料,运用先进的CT三维数字扫描技术、电脑智能CAD/CAM系统设计,在短时间内根据患者的口腔条件、脸型、肤色,量身定做个性化全瓷牙修复美容方案。3D全瓷牙拥有完美的精密度;具有真牙相匹配的透光性,色泽逼真,可媲美自然牙;良好的生物相容性,对牙龈无刺激;强度绝佳,强度超出真牙,拥有卓越的咬合力量,无不良金属离子渗出,磨牙较少,更大程度地保留原有的牙齿组织,所以能达到更佳的美齿效果及与软组织的更舒适接触。点击在线咨询,了解牙齿美容的优惠信息!在线预约可享更多优惠!
中韩·唯美口腔牙齿美容专家推荐

艾西川,主任医师,精湛技术:颌面外科、牙齿美容、1小时德国西诺德CAD/CAM3D齿雕全瓷修复。毕业于中国口腔著名学府——西安第四军医大学,原南京军区口外知名专家,郑州市口腔医院院长。从事口腔全科临床工作三十余年,对口腔内外科有丰富的临床经验,拥有万例成功案例。曾获市级科研成果奖两项,省级三项,多部专著被列为医大教材,在国内外知名刊物上发表专业论文20余篇,多次应邀参加国内外口腔大型研讨会,于口腔治疗方面有独到的治疗方法,深受客人好评。
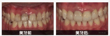
中韩·唯美口腔牙齿美容前后对比图

如果您觉得我们的文章没有解释的很清楚,或者还有其他疑问,您可以直接点击我们的在线咨询医生,中韩·唯美口腔专业咨询医生会给您耐心的,详细的解答,并给您一个满意的答复!
唯美口腔连锁·汇聚实力专家
唯美口腔连锁·品牌资讯