烤瓷牙一般能用多久?牙齿有缺损会严重的影响人们的外观形象,因此很多牙齿有问题的人都想要利用烤瓷牙来进行修复,那么烤瓷牙一般能用多久呢?针对这个问题,我们请郑州知名口腔科专家来详细介绍一下。
中韩·唯美口腔专家介绍:一般来说,烤瓷牙的使用寿命受以下因素影响。
1、牙齿本身情况:一般来说,如果牙齿本身是那种又粗又长的,修复后使用的时间就长。如果是镶牙,那么缺牙越多的使用时间越短,带的好牙越多的使用时间越长。如果是包冠保护死髓牙的,那么剩下的牙体组织越多或者使用桩核加固的,使用寿命越长。
2、医生水平:如果医生水平比较高,肯定使用的更久。临床医生的技术水平是评估烤瓷牙寿命的关键因素,牙套与牙齿的密合度即二者之间缝隙的大小决定了微渗漏的严重程度,微渗漏越明显,牙套里面的牙齿越容易腐烂,一般要求缝隙应该在30微米左右,这就要求备牙医生经过良好的专科训练,能把牙预备成良好的形态,满足加工要求。
3、使用过程中保护情况:牙齿在使用过程中是要维护的,自己的牙要进行保健与维护,烤瓷牙也一样,较重要的是进行牙周方面的护理,也就是要保持牙齿的干净与健康,如果不能很好地维护牙周,自己的牙可以松动脱落,所以维护好自己牙周的健康对其使用寿命有致关重要的影响。推荐阅读:3D全瓷牙
中韩·唯美口腔牙齿美容技术推荐
中韩·唯美口腔拥有的3D全瓷牙采用更高端的氧化锆材料,运用先进的CT三维数字扫描技术、电脑智能CAD/CAM系统设计,在短时间内根据患者的口腔条件、脸型、肤色,量身定做个性化全瓷牙修复美容方案。3D全瓷牙拥有完美的精密度;具有真牙相匹配的透光性,色泽逼真,可媲美自然牙;良好的生物相容性,对牙龈无刺激;强度绝佳,强度超出真牙,拥有卓越的咬合力量,无不良金属离子渗出,磨牙较少,更大程度地保留原有的牙齿组织,所以能达到更佳的美齿效果及与软组织的更舒适接触。点击在线咨询,了解牙齿美容的优惠信息!在线预约可享更多优惠!
中韩·唯美口腔牙齿美容专家推荐

莫三心教授,主任医师,硕士研究生导师。唯美口腔特邀专家,河南省口腔医学领域知名专家、郑州大学知名教授。精湛技术:牙齿种植、口腔修复、牙齿美容修复曾多次获得卫生部及省市各级表彰。主编多部并且参与编写多部国家医学教材,发表学术论文20余篇。擅于口腔修复,并涵盖口腔专业各个领域,可谓是大师级的口腔专家,在国内口腔界享有很高的声望。
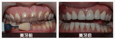
中韩·唯美口腔牙齿美容前后对比图

通过以上的介绍,相信您对这一问题已经有了更深的了解,中韩·唯美口腔专家指出,牙齿修复一定要到正规医院进行,以免由于手术不当而给自身造成终身遗憾。如果您还有其他问题,可以在线咨询专家,专家会为您做出耐心的解答。
上一篇:烤瓷牙修复牙齿具有哪些优点
下一篇:烤瓷牙的危害有什么
唯美口腔连锁·汇聚实力专家
唯美口腔连锁·品牌资讯