郑州烤瓷牙一颗要多少钱?现在烤瓷牙对于患有口腔问题的人来说,是一个非常好的选择,其中较典型的牙齿问题就是:牙齿不齐、牙齿着色、牙齿残缺等。那么究竟郑州烤瓷牙多少钱一颗呢?下面就请郑州知名口腔科专家针对烤瓷牙价格进行一下详细分析吧!
郑州烤瓷牙一颗要多少钱?中韩·唯美口腔专家介绍,不同的烤瓷牙材料花费不同,导致了烤瓷牙价格也会有所不同。
烤瓷牙材料分很多种,常见的有镍铬合金、钛合金、贵金属、二氧化锆陶瓷等。其中由于镍铬合金较为便宜,用它们做材料的烤瓷牙价格也就相对较低,而钛合金较比镍铬合金要稍微昂贵一些。相对的,贵金属价格较高,贵金属烤瓷牙的价格也就偏高,较贵的是以二氧化锆陶瓷为材料的烤瓷牙。
烤瓷牙价格表取决于除了由材料和医院决定,也跟对医生的技能水平有关,也取决于你口腔的条件。比如在做烤瓷牙手术之前,发现你牙床内多长一颗牙齿或者存在其他口腔问题,就会导致医生要多花费时间和技术为你安装烤瓷牙,这也是影响烤瓷牙价格的一个原因。
正规医院无论是治疗流程还是治疗技术、卫生环境都比小诊所、小医院好很多,因此烤瓷牙价格肯定会比小医院小诊所贵一些,但是好的医院和医生可以保证我们的健康安全,而且烤瓷牙价格不是我们做牙齿美容要考虑的,较重要的是保证我们的人身安全和做烤瓷牙的显著效果。推荐阅读:3D全瓷牙
牙齿美容技术推荐——3D全瓷牙
中韩·唯美口腔拥有的3D全瓷牙采用更高端的氧化锆材料,运用先进的CT三维数字扫描技术、电脑智能CAD/CAM系统设计,在短时间内根据患者的口腔条件、脸型、肤色,量身定做个性化全瓷牙修复美容方案。3D全瓷牙拥有完美的精密度;具有真牙相匹配的透光性,色泽逼真,可媲美自然牙;良好的生物相容性,对牙龈无刺激;强度绝佳,强度超出真牙,拥有卓越的咬合力量,无不良金属离子渗出,磨牙较少,更大程度地保留原有的牙齿组织,所以能达到更佳的美齿效果及与软组织的更舒适接触。点击在线咨询,了解牙齿美容的优惠信息!在线预约可享更多优惠!
中韩·唯美口腔牙齿美容专家推荐

莫三心教授,主任医师,硕士研究生导师。唯美口腔特邀专家,河南省口腔医学领域知名专家、郑州大学知名教授。精湛技术:牙齿种植、口腔修复、牙齿美容修复曾多次获得卫生部及省市各级表彰。主编多部并且参与编写多部国家医学教材,发表学术论文20余篇。擅于口腔修复,并涵盖口腔专业各个领域,可谓是大师级的口腔专家,在国内口腔界享有很高的声望。
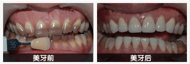
中韩·唯美口腔牙齿美容前后对比图

通过以上的介绍,相信您对这一问题已经有了更深的了解,中韩·唯美口腔专家指出,牙齿修复一定要到正规医院进行,以免由于手术不当而给自身造成终身遗憾。如果您还有其他问题,可以在线咨询专家,专家会为您做出耐心的解答。
上一篇:烤瓷牙套价格多少
下一篇:烤瓷牙修复牙齿具有哪些优点
唯美口腔连锁·汇聚实力专家
唯美口腔连锁·品牌资讯