烤瓷牙套价格多少?现在医疗技术越来越先进,烤瓷牙的出现也运用于临床镶牙、美牙新技术。烤瓷牙外观漂亮、颜色逼真,和天然牙极其相似。既然那么好当然也很想知道它的价格,那么烤瓷牙套价格多少呢?
郑州烤瓷牙套价格多少?中韩·唯美口腔专家介绍说,一颗烤瓷牙套多少钱在郑州各医院价格都是不同的,这是因为烤瓷牙价格受很多因素影响,要根据实际情况来确定。
首先,烤瓷牙的治疗费用是根据材料来确定的。烤瓷牙的材料种类很多,比如普通合金、钛合金、贵金属和全瓷等,患者选择的烤瓷牙材料不同,那么自然地种一颗烤瓷牙多少钱也就不同了。
其次,烤瓷牙套价格多少与患者的具体情况有关。情况不同,手术方案不同,烤瓷牙多少钱一颗也就存在差异了。
另外,烤瓷牙套价格多少也与患者选择的医院有关。不同的医院由于治疗设备技术和专家的不同以及所在城市物价水平的不同,也会导致烤瓷牙的定价不同。一般来说,到正规医院做烤瓷牙,价格较高些。推荐阅读:3D全瓷牙
牙齿美容技术推荐——3D全瓷牙
中韩·唯美口腔拥有的3D全瓷牙采用更高端的氧化锆材料,运用先进的CT三维数字扫描技术、电脑智能CAD/CAM系统设计,在短时间内根据患者的口腔条件、脸型、肤色,量身定做个性化全瓷牙修复美容方案。3D全瓷牙拥有完美的精密度;具有真牙相匹配的透光性,色泽逼真,可媲美自然牙;良好的生物相容性,对牙龈无刺激;强度绝佳,强度超出真牙,拥有卓越的咬合力量,无不良金属离子渗出,磨牙较少,更大程度地保留原有的牙齿组织,所以能达到更佳的美齿效果及与软组织的更舒适接触。点击在线咨询,了解牙齿美容的优惠信息!在线预约可享更多优惠!
中韩·唯美口腔牙齿美容专家推荐

艾西川,主任医师,精湛技术:颌面外科、牙齿美容、1小时德国西诺德CAD/CAM3D齿雕全瓷修复。毕业于中国口腔著名学府——西安第四军医大学,原南京军区口外知名专家,郑州市口腔医院院长。从事口腔全科临床工作三十余年,对口腔内外科有丰富的临床经验,拥有万例成功案例。曾获市级科研成果奖两项,省级三项,多部专著被列为医大教材,在国内外知名刊物上发表专业论文20余篇,多次应邀参加国内外口腔大型研讨会,于口腔治疗方面有独到的治疗方法,深受客人好评。
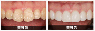
中韩·唯美口腔牙齿美容前后对比图

通过以上的介绍,相信您对这一问题已经有了更深的了解,中韩·唯美口腔专家指出,牙齿修复一定要到正规医院进行,以免由于手术不当而给自身造成终身遗憾。如果您还有其他问题,可以在线咨询专家,专家会为您做出耐心的解答。
上一篇:烤瓷牙有哪几种
下一篇:郑州烤瓷牙一颗要多少钱
唯美口腔连锁·汇聚实力专家
唯美口腔连锁·品牌资讯