烤瓷牙要多少钱?原本漂亮的牙齿为什么会有岁月的瑕疵呢,没有关系,让烤瓷牙来弥补你的缺憾,再还你青春自信的微笑,摆脱牙齿问题的困扰,要健康,从一口好牙开始。那么烤瓷牙多少钱呢?下面跟随郑州知名口腔科专家来了解一下。
烤瓷牙的作用
中韩·唯美口腔专家介绍:烤瓷牙别称,烤瓷牙套冠,患者进行1周的短期治疗即可,适用的人群也非常广泛,比如说:牙齿裂纹、重度氟斑牙、牙齿残缺缺失、釉质发育不全、四环素牙等等,并且烤瓷牙还能保持很长的时间、效果也非常显著美观、边缘密封性能高、强度接近牙齿,是非常好的一种牙齿替代品。
烤瓷牙价格影响因素
烤瓷牙的价格和其分类是有很大关系的,而且还可效果、患者自身情况都很大关系。烤瓷牙的价格主要的波动是材料的选择,但是烤瓷牙的选择需要选择适合采用的种类效果才会更好。其中烤瓷牙分为金属烤瓷牙和全瓷牙二种,并且全瓷牙还分为二种,材料组成和加工工艺都有所不同,所能达到的效果也并不一样,所以选择烤瓷牙需要针对性的进行选择,所以烤瓷牙的价格问题也就有所差异。推荐阅读:3D全瓷牙
并且烤瓷牙的选择也不是越贵越好的,要根据自己的牙齿情况和自己的经济情况选择一款适合自己的烤瓷牙进行治疗。价格的差异性是非常大的,您如果对自己的情况需要采用什么样的烤瓷牙都不了解,那么在这里建议您更好是对这个方面进行一定的了解之后再进行治疗。关于烤瓷牙多少钱的问题我们就介绍到这里,如果您还需要了解更多的信息,可点击在线咨询,直接与专家对话。
中韩·唯美口腔牙齿美容技术推荐
中韩·唯美口腔拥有的3D全瓷牙采用更高端的氧化锆材料,运用先进的CT三维数字扫描技术、电脑智能CAD/CAM系统设计,在短时间内根据患者的口腔条件、脸型、肤色,量身定做个性化全瓷牙修复美容方案。3D全瓷牙拥有完美的精密度;具有真牙相匹配的透光性,色泽逼真,可媲美自然牙;良好的生物相容性,对牙龈无刺激;强度绝佳,强度超出真牙,拥有卓越的咬合力量,无不良金属离子渗出,磨牙较少,更大程度地保留原有的牙齿组织,所以能达到更佳的美齿效果及与软组织的更舒适接触。点击在线咨询,了解牙齿美容的优惠信息!在线预约可享更多优惠!
中韩·唯美口腔牙齿美容专家推荐

莫三心教授,主任医师,硕士研究生导师。唯美口腔特邀专家,河南省口腔医学领域知名专家、郑州大学知名教授。精湛技术:牙齿种植、口腔修复、牙齿美容修复曾多次获得卫生部及省市各级表彰。主编多部并且参与编写多部国家医学教材,发表学术论文20余篇。擅于口腔修复,并涵盖口腔专业各个领域,可谓是大师级的口腔专家,在国内口腔界享有很高的声望。
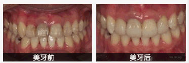
中韩·唯美口腔牙齿美容前后对比图

如果您还有想要了解的情况,可以点击我们的在线咨询,中韩·唯美口腔的在线专家会给您更专业,更详细的解答,或是拨打我们的24小时康复热线,与专家一对一详解。
唯美口腔连锁·汇聚实力专家
唯美口腔连锁·品牌资讯